Schlaganfall: Durchblutungsstörung oder Hirnblutung
Schlaganfall: Durchblutungsstörung oder Hirnblutung

Plötzlich auftretende Durchblutungsstörung des Gehirns. Dadurch wird das Gehirn nicht mit ausreichend Sauerstoff und Nährstoffen versorgt, was eine Störung der Gehirnfunktion hervorruft. Dauert dieser Sauerstoff- und Nährstoffmangel länger an, beginnt das Hirngewebe abzusterben.

Bei einer vorübergehenden Durchblutungsstörung können sich die Symptome nach ein paar Stunden zurückbilden, man spricht dann von einer transitorischen (vorübergehenden) ischämischen Attacke (TIA).

Von den Durchblutungsstörungen im Gehirn, welche als ischämischer Hirnschlag bezeichnet wird,  muss die Hirnblutung abgegrenzt werden, welche auch als  hämorrhagischer Hirnschlag bezeichnet wird. Aus den Symptomen lässt sich nicht beurteilen, ob ein ischämischer oder ein hämorrhagischer Insult (Hirnschlag) vorliegt. Bei einer massiven Blutung kommt es zu einer Druckerhöhung im Schädelinneren, welche innerhalb kurzer Zeit zum Tod führen kann.

Die Ursache des Hirnschlages ist entweder eine Verstopfung einer Hirnarterie (ischämischer Hirnschlag) oder eine Hirnblutung. Die Verstopfung wird durch die Atherosklerose (Gefässverkalkung) begünstigt. Oft geht dem Hirnschlag eine transitorische ischämische Attacke voraus, wobei die Durchblutung bereits vorübergehend gestört ist, die betroffene Hirnarterie aber noch durchgängig bleibt. Die transitorische ischämische Attacke ist ein Warnzeichen für den ischämischen Hirnschlag. Eine relativ häufige Ursache für einen Hirnschlag ist das Vorhofflimmern. Bei dieser Herzrhythmusstörung bilden sich im Vorhof des Herzens Blutgerinnsel, die als Embolie in die Hirnartieren verschleppt werden und dort zum Verschluss führen. Zusammenfassung der Ursachen:

  • Gefässverengung (Arteriosklerose) der Halsschlagadern oder der Gehirnarterien
  • Gefässverschluss (Thrombose)
  • Verstopfung der Gefässe durch ein Blutgerinnsel (Embolie) bei Herzrhythmusstörungen oder bei Fehlbildungen des Herzens, oder durch Absprengung eines Innenwandstückes der Halsschlagader
  • Hirnblutung
  • Akute Blutdruckabfälle z.B. bei Herz-Kreislauf-Stillstand oder Herzrhytmusstörungen
  • Selten Entzündungen, angeborene Missbildungen oder Verletzungen der Gehirngefässe

Risikofaktoren

Zu den Risikofaktoren gehören alle Faktoren, welche die Gefässverkalkung begünstigen. In seltenen Fällen können hormonale Verhütungsmittel einen Hirnschlag begünstigen, insbesondere wenn zusätzliche Risikofaktoren wie Rauchen und Übergewicht vorliegen. Zusammenfassung der Risikofaktoren

 

Ein Hirnschlag ist gekennzeichnet durch schlagartige, plötzliche Ausfälle von Hirnfunktionen. Das kann sich äussern durch Lähmungserscheinungen, Gefühlsstörungen, Sehstörungen, Hörstörungen, Sprechstörungen oder Bewussteinsverlust. Zusammenfassung der Symptome:

  • Bewussteinsstörung, Lähmungen (klassisch: Halbseitenlähmung), ev. mit Herabhängen des Mundwinkels, wenn die Hirnnerven mit betroffen sind 
  • Taubheitsgefühle
  • Sprachstörungen, Schluckstörungen, Sehstörungen (Doppelbilder), Hörstörung 
  • Koordinationsschwierigkeiten der Hände
  • Drehschwindel
  • Manchmal schlagartige, heftige Kopfschmerzen
  • Vereinzelt kann es bei oder nach akuten Hirninfarkten zu epileptischen Anfällen kommen
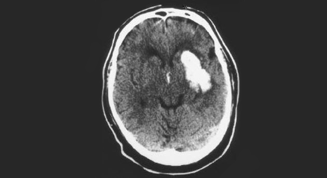
Schlaganfall: Computertomographie MRI
Schlaganfall: Computertomographie MRI

Zur Diagnose eines Schlaganfalls werden verschiedene Untersuchungen und Abklärungen durchgeführt. Dazu gehören unter anderem:

  • Krankengeschichte und Symptome
  • Körperliche Untersuchung, speziell des zentralen und peripheren Nervensystems
  • Computertomographie zum Ausschluss/Nachweis einer Hirnblutung, MRI
  • Ultraschall
  • Elektrokardiogramm (EKG) zum Nachweis von Herzrhythmusstörungen
  • Echokardiographie (Herzfunktion, Darstellung der Herzklappen)
  • Blutuntersuchungen zum Nachweis von Blutgerinnungsstörungen

Der Schlaganfall ist ein Notfall, der sofort in ärztliche Behandlung gehört, auch wenn sich die Symptome wieder zurückbilden. Der Zeitpunkt des Behandlungsbeginns hat einen grossen Einfluss auf die Überlebenschance und auf die Rückbildung der Lähmungserscheinungen. Time is brain!

Schlaganfall: notfallmässige Behandlung im Spital
Schlaganfall: notfallmässige Behandlung im Spital

Die Behandlung richtet sich nach der zu Grunde liegenden Ursache.

  • Hirnblutung: Neurologische Überwachung, ev. operativer Eingriff zur Druckentlastung. Meist ist eine Therapie auf der Intensivstation notwendig.
  • Gefässverschluss: Überwachung des Blutdrucks, ev. medikamentöse Lysetherapie (Auflösung des Blutgerinnsels), Blutverdünnung zur Verhinderung eines erneuten Schlaganfalls.
  • Frührehabilitation: Mit Hilfe von Krankengymnastik, Sprachtherapie und Ergotherapie  werden die verloren gegangenen Fähigkeiten wieder trainiert. Je früher damit begonnen wird, desto besser sind die Ergebnisse. Je nach Ausmass des Schlaganfalls erholt sich der Patient wieder vollständig, andere brauchen zum Teil Monate bis Jahre, bis sie Alltagsaktivitäten wieder selbständig in den Griff bekommen.

Wichtig ist ebenfalls das Behandeln von Risikoerkrankungen: Diabetes, Bluthochdruck, erhöhte Cholesterinwerte und Vorhofflimmern. Ausserdem sollten so viele Risikofaktoren wie möglich ausgeschaltet werden: Nikotinstop, Gewichtsreduktion, regelmässige Bewegung.

Es gibt ungünstige Stellen, an denen ein kleiner Infarkt schon schwerste bleibende Behinderungen hervorrufen oder den Tod bedeuten kann, wohingegen ein ähnlich grosser Infarkt an anderen Stellen möglicherweise nur leichte Symptome hervorruft. Die Prognose bei Hirnblutung ist meist relativ ernst. Neben den technischen Befunden muss bei der Prognoseeinschätzung immer auch der Verlauf in den ersten Wochen nach dem Schlaganfall berücksichtigt werden. Eine grosse Bedeutung hat die bald einsetzende Rehabilitation.

Mögliche Komplikationen sind:

Schlaganfall: gesunde Ernährung, viel Bewegung, Normalgewicht
Schlaganfall: gesunde Ernährung, viel Bewegung, Normalgewicht

Zur Vorbeugung und Verhinderung eines Schlaganfalls werden unter anderem folgende Massnahmen empfohlen:

  • Ausgeglichene, salzarme Ernährung
  • Bei Bluthochdruck konsequente Behandlung und regelmässige Medikamenteneinnahme
  • Rauchen vermeiden
  • Bei Zuckerkrankheit (Diabetes) konsequente Behandlung und regelmässige Medikamenteneinnahme
  • Bei Übergewicht Gewichtsreduktion
  • Regelmässige Bewegung
  • Bei entsprechender Veranlagung Einnahme von blutverdünnenden Medikamenten