Schenkelhalsbruch: zum Beispiel durch Osteoporose
Schenkelhalsbruch: zum Beispiel durch Osteoporose

Die Schenkelhalsfraktur ist ein hüftgelenksnaher Bruch, zwischen Schaft und Kopf des Oberschenkelknochens.

Der Schenkelhalsbruch ist eine häufige Folge eines Sturzes auf die seitliche Hüfte im höheren Alter. Häufig trägt eine vorliegende Osteoporose (Knochenschwund) zum Knochenbruch bei. Bei starker Osteoporose kann bereits eine ''dumme'' Bewegung zu einem Bruch des Schenkelhalses führen.

Jüngere Patienten erleiden höchstens bei einem heftigen Aufprall, z.B. bei einem Auto- oder Skiunfall, einen Schenkelhalsbruch; dazu braucht es aber eine wuchtige Krafteinwirkung.

Ein Schenkelhalsbruch sollte innerhalb weniger Stunden nach dem Unfallereignis operiert werden, da sonst die Gefahr einer Hüftkopfnekrose (teilweises oder ganzes Absterben des Hüftkopfes) besteht.

Risikofaktoren für Stürze bei älteren Menschen:

  • Gangunsicherheit
  • Sehstörungen
  • Gleichgewichtsstörungen (Schwindel)
  • Erkennungsstörungen (z.B. bei Demenz)
  • Schwache Muskulatur, langsame Reflexe
  • Niedriger Blutdruck (z.B. Blutdruckabfall nach raschem Aufstehen)
  • Medikamente
  • Unangepasste Wohnungsumgebung (z.B. Hindernisse, Türschwellen, Kabel, rutschige Fussböden, Nässe, schlechte Beleuchtung etc.)

Ursache des Schenkelhalsbruchs:

  • Sturz auf die seitliche Hüfte im höheren Alter
  • Osteoporose (Knochenschwund)
  • Heftige Krafteinwirkung (z.B. Autounfall, Skisturz etc.) bei jungen Menschen

Beschwerden, die auf einen Schenkelhalsbruch hindeuten können, sind unter anderem:

  • Sofortige und absolute Belastungsunfähigkeit
  • Heftige Schmerzen im Bereich der Hüfte, das Bein kann nicht mehr angehoben werden.
  • Zunehmender Druckschmerz, ev. Schwellung in der seitlichen Hüftregion
  • Je nach Bruchstelle ist das Bein verkürzt und nach aussen gedreht.
  • Bei wenig verschobenen Schenkelhalsbrüchen kann die Aussendrehung fehlen und der Schmerz wird eher im Kniegelenk gespürt; dies kann dazu führen, dass im ersten Moment kein Schenkelhalsbruch vermutet wird.
  • Verletzungen von Gefässen und Nerven kommen eher bei jungen Menschen, d.h. nach starker Krafteinwirkung, vor.
Schenkelhalsbruch: Röntgenbild des Beckens
Schenkelhalsbruch: Röntgenbild des Beckens

Zur Diagnose eines Schenkelhalsbruches werden verschiedene Untersuchungen und Abklärungen durchgeführt. Dazu gehören unter anderem:

  • Unfallereignis, Schilderungen des Patienten sowie Alter des Patienten weisen den Arzt meist bereits in die richtige Richtung
  • Sicherung der Diagnose durch Röntgenbild Beckenübersichtsaufnahme
  • Ev. Computertomographie (CT)
  • Ev. Magnetresonanztomographie, um allenfalls weitere Verletzungen im Beckenbereich auszuschliessen
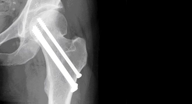
Schenkelhalsbruch: meist ist eine operative Fixation notwendig
Schenkelhalsbruch: meist ist eine operative Fixation notwendig

Selten ist ein Schenkelhalsbruch so stabil, dass eine konservative (nicht chirurgische) Behandlung möglich wäre. In den meisten Fällen muss operiert werden.

Konservative (nicht chirurgische) Behandlung

  • Bettruhe 10-14 Tage
  • Schienung des Beines
  • Vorbeugung von Thrombosen (Thromboseprophylaxe)
  • Ev. Atemtherapie
  • Nach 2-3 Tagen beginnt die vorsichtige Mobilisation mit Steigerung der Belastung innerhalb der darauffolgenden 4 Wochen.

Medikamente

  • Vorbeugung gegen Thrombose
  • Ev. Antibiotika als Vorbeugung vor Infektionen
  • Schmerzbehandlung

Operationsvarianten

Welche Operation gewählt wird, hängt vom allgemeinen Gesundheitszustand, der Knochendichte und des Bruchverlaufes ab. Die Operation sollte innerhalb von ca. 6 Stunden nach Unfallereignis durchgeführt werden (Gefahr einer Hüftkopfnekrose).

Verschraubung (Osteosynthese): Ist nur möglich bei einer guten Knochendichte (keine Osteoporose).

Vorteil: Schnelle Operation, wenig Weichteilverletzung; das natürliche Hüftgelenk (Hüftkopf) bleibt erhalten.

Nachteil: es besteht die Gefahr des Abrutschens der Fraktur sowie der Bildung eines Falschgelenkes (Pseudarthrose). Nach diesem Eingriff kann nicht sofort voll belastet werden.

Dynamische Hüftschraube (Metallplatten und Schrauben-Konstruktion): Hier wird zur Stabilisierung eine Metallplatte am Oberschenkel befestigt und eine dicke Schraube durch den Schenkelhals in den Hüftkopf gelegt. Auch diese Operation kann nur bei guter Knochendichte des Patienten vorgenommen werden.

Vorteil: Schnelle Operation, das natürliche Hüftgelenk (Hüftkopf) bleibt erhalten.

Nachteil: Abrutschen des Bruches wird möglich. Sofortige Vollbelastung ist nicht möglich. Es besteht die Gefahr der Hüftkopfnekrose.

Künstliches Hüftgelenk: Diese Operationsart wird vor allem bei älteren und sehr alten Menschen, mit einer schlechten Knochendichte (Osteoporose), vorgezogen. Es bestehen grundsätzlich zwei Möglichkeiten: entweder wird eine Kopfprothese am Oberschenkelschaft befestigt, die dann in der originalen Beckengelenkspfanne gleitet, oder es wird das ganze Gelenk - der Kopf und die Hüftpfanne, sog. Totalprothese (TP) - durch künstliches Material ersetzt.

Vorteil: Sofortige Vollbelastung möglich. Dadurch ist eine rasche Mobilisation des Patienten möglich und die Gefahren einer längeren Bettlägerigkeit mit schweren Komplikationen (Lungenentzündung, Beinvenenthrombose, Lungenembolie, Wundliegen) werden stark reduziert.

Nachteil: Grössere Operation, grössere Weichteiltraumen. Hüftprothesen können sich lockern, sodass eine Operation (Wechsel des Hüftgelenkes) notwendig wird.

Notfallmassnahmen (Erste Hilfe)

Bei nahezu jeder akuten Sportverletzung kann nach dem PECH -Schema vorgegangen werden. Schnelles Handeln ist gefragt.

P = Pause - sofortiger Sportunterbruch
E = Eis - Kühlen der verletzten Stelle, sofern es sich nicht um eine offene Wunde handelt. Es muss nicht unbedingt Eis sein, auch kalte Umschläge können helfen
C = Compression - Druckverband wirkt der Schwellung entgegen; Achtung: Nicht zu fest anlegen, damit die Druchblutung der Extremität nicht unterbunden wird
H = Hochlagern - Bei Verletzungen, welche die Extremitäten (Arme, Beine) betreffen, wird der Rückfluss des Blutes und der Schwellflüssigkeit durch Hochlagern erleichtert. Natürlich gilt das nicht für Menschen, die bewusstlos sind und bei denen der Verdacht auf eine Kopf- Schulter- und Rückenverletzung besteht. Im Zweifelsfall Eiswickel machen oder die verletzte Extremität ruhig stellen und ab zum nächsten Arzt oder Spital.

Alte Menschen sind durch Vorerkrankungen (z B. Herz-Kreislauferkrankungen), die Liegedauer sowie das Trauma selbst oft von Komplikationen betroffen:

Mögliche Komplikationen während oder nach der Operation:

  • Gefäss-, Sehnen- Nervenverletzungen
  • Beinvenenthrombose/Lungenembolie
  • Infektionen
  • Lungenentzündung
  • Abrutschen des Bruches
  • Lockerung der Metallplatte oder der Hüftprothese
  • Falschgelenkbildung (Pseudarthrose)
  • Absterben des Hüftkopfes (Hüftkopfnekrose)
  • Wundheilungsstörungen
  • Blutungen