Rheuma: Chronische Gelenkentzündung
Rheuma: Chronische Gelenkentzündung

Die Rheumatoide Arthritis (RA; früherer Name: chronische Polyarthritis) ist die häufigste chronische entzündliche Erkrankung, welche überwiegend die Gelenke befällt. Neuere Studien belegen allerdings, dass Patienten mit einer RA auch ein grösseres Risiko für andere Erkrankungen, zum Beispiel Herzinfarkte und Schlaganfälle, haben.

Die RA ist die weltweit häufigste entzündliche rheumatische Erkrankung. In der Schweiz sind etwa 70'000 Menschen davon betroffen, was 1% der Bevölkerung entspricht.

Die Erkrankungshäufigkeit von Frauen überwiegt diejenige von Männern im Verhältnis 3:1. Die Krankheit kann in jedem Lebensalter, ja sogar bereits im Kindesalter auftreten (juvenile RA). Am häufigsten beginnt die Erkrankung in der 4. bis 6. Lebensdekade.

Die Ursache für die Entstehung einer RA ist noch immer nicht endgültig geklärt. Es ist jedoch wahrscheinlich, dass zu Beginn des Krankheitsprozesses Zellen des Immunsystems aktiviert werden, welche sich in einer Autoimmunreaktion gegen den eigenen Körper richten und zu Beginn vor allem die Gelenkoberflächen zerstören.

Das klinische Bild der RA variiert stark zwischen den einzelnen Patienten und zeigt auch innerhalb eines Patienten im Verlauf starke Schwankungen.

Typische Symptome sind:

  • Nächtliche und morgendliche Gelenkschmerzen
  • Morgensteifigkeit der Gelenke von mehr als 15 Minuten
  • Schwellung der Gelenke
  • Allgemeines Krankheitsgefühl mit Müdigkeit und Erschöpfung, ev. Fieber zu Beginn und im weiteren Verlauf, insbesondere bei Schüben Die Erkrankung schreitet entweder langsam fort oder schubförmig
  • In späteren Stadien Deformationen des Skeletts, vor allem der Finger

Die dazwischenliegenden Intervalle sind unterschiedlich lang. Selten heilt die Krankheit nach einem ersten Schub wieder ganz aus, meist ist die RA eine chronische Erkrankung. Nur bei zirka 10% ist im Verlauf mit einer Heilung zu rechnen.

Ist anfänglich nur das Bindegewebe der Gelenksinnenhaut (Synovium) betroffen, schreitet die Entzündung und Zerstörung ohne wirksame Behandlung weiter und ruiniert Knorpel, Sehnen und Knochen. Die betroffenen Gelenke werden funktionsunfähig und weisen aufgrund der Zerstörung der Sehnen oft groteske Fehlstellungen auf.

Jedes Gelenk kann befallen werden. Normalerweise sind beide Körperhälften symmetrisch betroffen. Häufig betroffen sind die Fingergrundgelenke, Handgelenke, Fingermittelgelenke, Zehengrundgelenke, Schultergelenke, Kniegelenke, Sprunggelenke und Ellbogen.

Zusätzlich können vor allem bei schwereren Verlaufsformen auch andere Organe wie Haut, Augen, Lunge, Herz, Gefässe, Magen-Darm-Trakt, Nieren und Nervensystem angegriffen sein.

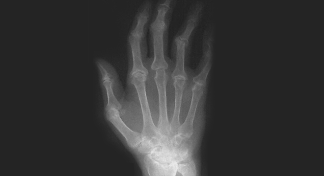
Rheuma: Deformationen im Röntgenbild
Rheuma: Deformationen im Röntgenbild

Die entzündungsbedingten Gelenkschäden der RA sind irreversibel. Sie treten rascher auf als früher aufgrund von Untersuchungen mit herkömmlichen Röntgen-Aufnahmen vermutet worden ist. Die Diagnose ist deswegen so rasch wie möglich zu stellen.

Wichtig: Je früher die Diagnose gestellt und mit der Basistherapie begonnen wird, desto besser ist die Prognose.

Das Stellen einer Frühdiagnose erfordert viel Erfahrung, da sie sich vor allem auf das klinische Bild stützt.

Diagnosehilfsmittel:

  • Klassifikationskriterien: z.B. ACR-Kriterien (American College of Rheumatology)
  • Laboruntersuchungen: Rheumafaktor, Antikörper gegen Zitrullin-haltige Peptide
  • Röntgenbilder und anderen bildgebende Untersuchungen: In der Frühdiagnostik werden zunehmend Magnetresonanztomographie und Ultraschall eingesetzt
Rheuma: Entzündungshemmende Medikamente
Rheuma: Entzündungshemmende Medikamente

Weil die Erkrankung nur in den seltensten Fällen zum Stillstand kommt und die Erkrankung eine zunehmende Gelenkzerstörung und damit zunehmende Invalidisierung zur Folge haben kann, wird diese Erkrankung heute früher und aggressiver behandelt. Es gibt verschiedene therapeutische Massnahmen:

Medikamente

Die Medikamente, welche für die Behandlung der RA benutzt werden, können in drei Gruppen aufgeteilt werden.

  • Nicht-steroidale Entzündungshemmer: Diese Substanzen wirken ausschliesslich symptombezogen (Schmerzen und Entzündungszeichen werden gemildert). Sie können weder die Ursache noch den Krankheitsverlauf beeinflussen.
  • Kortison-Präparate (Glucocorticoide): Bei der RA, insbesondere in Phasen sehr hoher Krankheitsaktivität, kann auf ihre Verwendung als eine Art therapeutische "Feuerwehr" kaum verzichtet werden. Daneben hat sich in letzter Zeit herausgestellt, dass niedrig-dosierte Kortikoide bei der RA die Zerstörung von Knorpel und Knochen hemmen und damit auch eine basistherapeutische gelenkschonende Wirkung besitzen.
  • Basistherapeutika: Basistherapeutika wirken nicht symptomatisch akut gegen Schmerz und Entzündung. Ihre Wirkung zeigt sich erst im Verlauf von mehreren Wochen bis Monaten. Sie greifen gezielt in den Krankheitsablauf ein und sollen das Fortschreiten der Erkrankung verlangsamen, im Idealfall sogar zum Stillstand bringen. Durch ihre Wirkung kann der Bedarf an symptomatischen (die Krankheitszeichen aber nicht die Ursache unterdrückenden) Medikamenten und Kortison-Präparaten reduziert werden. Zu den Basistherapeutika gehören auch die Zytokin-Hemmstoffe. Zytokine sind körpereigene Substanzen, die eine Mittelfunktion zwischen Zellen innehaben, die an der Entzündungsreaktion beteiligt sind. Ein bei der RA offenbar wichtiges Zytokin ist der sogenannte TNF-alpha (Tumor Nekrose Faktor alpha). Seit einiger Zeit stehen Präparate zur Verfügung, welche die Wirkung des TNF-alpha blockieren und zu einer Besserung der Beschwerden führen. Weitere ähnliche Präparate werden folgen.
  • Synoviorthese: Gelenkeinspritzungen: Entzündungshemmende Medikamente.

Physikalische Therapie

Hauptziel der Therapie ist die bestmögliche Erhaltung beziehungsweise Verbesserung der Selbständigkeit und der Lebensqualität. Weitere Ziele:

  • Schmerz-Reduktion
  • Gelenkveränderungen (Deformitäten) verhindern
  • Bewegungsausmass erhalten/verbessern
  • Erhalten und verbessern der Muskelkraft und Muskelausdauer

Ergotherapie

Die Ziele werden auf die Krankheitsaktivität (akute/chronische Phasen) abgestimmt. Ziele sind die Erhaltung der Funktionsfähigkeit für Aktivitäten im täglichen Leben, Schmerz-Reduktion, Deformationsprophylaxe, Erhalten/Wiederherstellen der Greiffunktion der Hände.

Bei schweren Verlaufsformen oder ungenügend behandelten Patienten droht mit der Zeit die Invalidisierung und vollständige Abhängigkeit Dritter. Gemäss neueren Untersuchungen betrifft die Entzündungsreaktion den ganzen Körper, und nicht nur die Gelenke. So haben Patienen mit einer RA auch ein erhöhtes Risiko für Herz-Kreislauf-Ereignisse (z.B. Herzinfarkte).