Pneumothorax: Wenn Luft in den Spalt zwischen den Lungenfellen dringt.
Pneumothorax: Wenn Luft in den Spalt zwischen den Lungenfellen dringt.

Das Brustfell kleidet einerseits die Innenseite des Brustkorbs und andererseits die Aussenseite der Lungenflügel aus; dazwischen befindet sich etwas Flüssigkeit. Beim Einatmen wird der Brustkorbinnenraum vergrössert und zieht die Lunge passiv auseinander. Wenn nun Luft in den Spalt zwischen den Lungenfellen dringt, nennt man das Pneumothorax. Als Folge kollabiert die Lunge, weil der Zug durch das äussere Lungenfell nicht mehr besteht und sich die elastischen Fasern in der Lunge zusammenziehen.

Auf 10'000 Personen tritt ca. ein Fall eines Pneumothorax auf. Männer - insbesondere schlanke, grosse Männer - sind häufiger betroffen als Frauen. Ein erster Pneumothorax ereignet sich meist zwischen dem 10. und dem 30. Lebensjahr.

Beim Pneumothorax unterscheidet man zwischen primärer und sekundärer Form.

Bei der primären Form liegt normales Lungengewebe vor, wobei in den meisten Fällen kleine Bläschen unter der Lungenoberfläche nachgewiesen werden können. Diese platzen und stellen eine Verbindung zwischen dem Atemwegssystem und dem Lungenfellraum her. Man weiss, dass Raucher wesentlich häufiger an einem primären Pneumothorax erkranken als Nichtraucher.

Von einem sekundären Pneumothorax spricht man dann, wenn bereits eine Lungenschädigung besteht, die einen Pneumothorax begünstigt (z.B. COPD, Lungenkrebs, Lungenemphysem, Lungenentzündung, Cystische Fibrose).

Auslöser können körperliche Anstrengungen, Husten oder Niesen sein. Ein Pneumothorax kann aber durchaus auch spontan auftreten.

Luft kann auch von aussen in den Lungenfellspalt dringen, zum Beispiel bei Verletzungen. Dabei kann sich ein Ventilmechanismus einstellen, so dass Luft von aussen in den Lungenfellraum gesogen wird, dieser aber nicht mehr entweichen kann. So erhöht sich der Druck stetig, was zur Kompression der Lunge und zum Abklemmen des Blutflusses zurück zum Herzen führen kann. Diese Situation nennt man Spannungspneumothorax, sie ist lebensgefährlich und ist ein absoluter Notfall.

Ein Pneumothorax kann auch einmal nach einer Pleurapunktion oder nach einer Biopsie von Lungengewebe durch den Arzt verursacht werden.

Beschwerden, die auf einen Pneumothorax hindeuten können, sind unter anderem:

  • Akut aufgetretene, atemabhängige Brustschmerzen
  • Atemnot
  • Reizhusten
  • Unangenehmes, komisches Gefühl in der Brust
  • Evtl. Bluthusten
  • Zusätzlich bei sekundärem Pneumothorax Verschlechterung der Grunderkrankung
  • Bei Spannungspneumothorax können rascher Puls (mehr als 120/Minute), zunehmende Atemnot und tiefer Blutdruck mit Schwindel und Bewusstlosigkeit dazukommen (absoluter Notfall !)
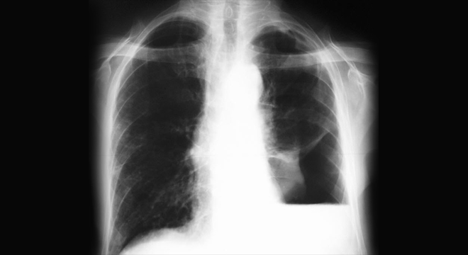
Pneumothorax: Röntgenbild des Brustkorbs
Pneumothorax: Röntgenbild des Brustkorbs

Zur Diagnose eines Pneumothorax werden verschiedene Untersuchungen und Abklärungen durchgeführt. Dazu gehören unter anderem:

  • Erhebung der Krankengeschichte (oft liegen bereits frühere ähnliche Ereignisse vor)
  • Körperliche Untersuchung, vor allem Abklopfen und Abhören der Lunge
  • Sicherung der Diagnose auf dem Röntgenbild des Brustkorbs (Thorax)
Pneumothorax: Behandlung erfolgt im Spital
Pneumothorax: Behandlung erfolgt im Spital

Das Ziel der Behandlung ist es, die Luft aus dem Lungenfellspalt zu bringen, vor allem aber auch ein Wiederauftreten zu verhindern. Beim Spannungspneumothorax ist die notfallmässige Entlastung durch eine Kanüle die primäre Massnahme.

Kleiner Pneumothorax mit keinen oder sehr geringen Symptomen

Bei wenig Luft im Lungenfellspalt kann sich diese von selbst resorbieren und eine spezifische Therapie ist nicht notwendig. Im Spital oder ambulant müssen jedoch regelmässige Kontrollen gemacht werden. Wenn die Beobachtung im Spital erfolgt, kann der Prozess durch die Einatmung von Sauerstoff beschleunigt werden. Ein sekundärer Pneumothorax sollte immer im Spital behandelt werden.

Grösserer Pneumothorax oder Pneumothorax mit Symptomen

Hier muss nach örtlicher Betäubung eine Drainage erfolgen, das heisst, ein Röhrchen wird von aussen in den Lungenfellspalt eingeführt. Durch dieses Röhrchen wird ein Unterdruck erzeugt und die Luft abgesogen. Wenn über längere Zeit keine Luft mehr kommt und das Lungenfell im Röntgenbild der Brustkorbwand anliegt, kann die Drainage wieder entfernt werden. Diese Behandlung erfolgt im Spital.

Zweiter oder dritter Pneumothorax

Tritt ein Pneumothorax immer wieder auf (Rezidiv), wird in der Regel eine Computertomographie gemacht, um zu beurteilten, ob eine Rezidivprophylaxe gemacht werden kann. Dabei werden entweder in einer offenen Operation oder thorakoskopisch (Spiegelung analog der Bauch- oder Kniespiegelung) die beiden Lungenfelle miteinander zum Verwachsen gebracht.

Dies geschieht entweder durch das Einbringen von Talk in den Lungenfellspalt oder durch das Aufkratzen der Oberflächen, was beides zu einer Entzündung und Verwachsung der beiden Lungenfellblätter führt. Kleine Lungenbläschen an der Oberfläche der Lunge, welche potentiell auch wieder einen Pneumothorax veursachen könnten, werden in der Operation bei Bedarf entfernt.

Körperliche Anstrengungen sollten in den ersten 3 Wochen nach Heilung vermieden werden.

Bei Tauchern ist nach einem Pneumothorax Vorsicht geboten, da das Rezidivrisiko beträchtlich ist und ein Pneumothorax während des Tauchgangs lebensgefährlich ist.

Ein Pneumothorax kann unter anderem folgende Komplikationen verursachen:

  • Nach erstem Pneumothorax beträgt das Rezidivrisiko (erneuter Pneumothorax) zwischen 16 und 50%. Nach dem zweiten Ereignis liegt das Risiko für einen dritten Pneumothorax bei über 50%.
  • Wasser auf der Lunge (Lungenödem) nach lange bestehendem Lungenkollaps
  • Schmerzen, Infektionen, Blutungen oder tiefer Blutdruck mit Schwindel sind mögliche Komplikationen bei Einlage einer Drainage