Myom der Gebärmutter: guartige Geschwulste
Myom der Gebärmutter: guartige Geschwulste

Beim Myom handelt es sich um einen gutartigen Tumor, beziehungsweise um eine Geschwulst des Muskelgewebes der Gebärmutter. Sie treten als Knoten an verschiedenen Stellen der Gebärmutterwand auf, selten am Gebärmutterhals. Wenn viele Myome über die Gebärmutter verteilt auftreten spricht man von einem Uterus myomatosus. Etwa ein Fünftel der über 35-jährigen Frauen haben Myome.

Ein Myom entsteht aus einzelnen Zellen, deren Teilungsprozess nicht mehr richtig funktioniert. Die Zellen beginnen sich übermässig stark zu vermehren. Das Wachstum des Myoms ist an die Funktion der Eierstöcke gebunden; Kinder und Frauen in der Menopause können keine (neuen) Myome bekommen.

Weitere Ursachen:

  • Störungen der Hormonregulation (erhöhte Östrogenwerte)
  • Familiäre Häufungen lassen eine genetische Ursache vermuten
  • Äussere Reize, z.B. radioaktive Strahlung, können eine Rolle spielen
Myom der Gebärmutter: Blutungen und Schmerzen im späteren Stadium
Myom der Gebärmutter: Blutungen und Schmerzen im späteren Stadium

Beschwerden, die auf ein Myom hindeuten können, sind unter anderem:

  • Myome machen im Anfangsstadium keine Beschwerden.
  • Zyklusstörungen verursacht durch: Vergrösserung der Gebärmutterschleimhaut, Störungen der Kontraktionsfähigkeit der Gebärmutter durch Knoten an der Gebärmutterwand, Störungen der Blutstillmechanismen. Unregelmässige, starke und verlängerte Regelblutungen sind die Folge.
  • Bei Beginn der Menopause oder bei Schwangerschaft, durch die erhöhte Produktion von Östrogen, kann das Wachstum der Myome beschleunigt werden.
  • Wehenartige, dumpfe, ziehende Schmerzen.
  • Myome, die in die freie Bauchhöhle hinauswachsen, verursachen meistens keine Beschwerden.

Wenn das Myom wegen seiner Grösse Nachbarorgane einengt, kann es zu akuten, kolikartigen Unterleibsschmerzen kommen. Es kann zu Blasenbeschwerden und vermehrtem Harndrang kommen. Wenn das Myom auf den Mastdarm drückt, kann Verstopfung die Folge sein. Eine Ausdehnung der Myome in die Kreuzbeinhöhle führt zu Rückenbeschwerden.

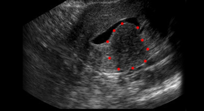
Myom der Gebärmutter: Ultraschalluntersuchung
Myom der Gebärmutter: Ultraschalluntersuchung

Zur Diagnose eines Myoms werden verschiedenen Untersuchungen und Abklärungen durchgeführt. Dazu gehören unter anderem:

  • Krankengeschichte und Symptome
  • Routinemässige gynäkologische Untersuchung en lassen ein Myom vermuten
  • Ultraschall
  • Gebärmutterspiegelung zum Ausschluss anderer Tumoren, Polypen oder Fehlbildungen der Gebärmutter
  • Ausschluss eines bösartigen Tumors (Gewebeprobe)
Myom der Gebärmutter: Je nach Grösse der Myome Entfernung der Gebärmutter
Myom der Gebärmutter: Je nach Grösse der Myome Entfernung der Gebärmutter

Die Behandlung des Gebärmuttermyoms sich nach dem Schweregrad der Erkrankung. Zu den bewährten Behandlungsmöglichkeiten gehören:

  • Medikamentös: Eine Hormonbehandlung, sog. Gestagentherapie, führt zu einer Rückbildung des Myoms. Evtl. sinnvoll ist eine Kombination von Hormonbehandlungen zur Verkleinerung des Myoms mit anschliessender Operation.
  • Spezielle Hormonbehandlung mit Gn-RH-Analoga.
  • Operative Entfernung des Myoms durch einen Bauchschnitt, über die Scheide oder laparoskopisch (mit Hilfe einer Bauchspiegelung).
  • Entfernung der gesamten Gebärmutter (Hysterektomie) über die Scheide oder durch einen Bauchschnitt.
  • Myoembolisation (Verschluss der das Myom versorgenden Gefässe unter Lokalanästhesie) führt zur Schrumpfung des Myoms.

Etwa ein Drittel aller Myome verursacht Folgeprobleme, die sein können:

  • Unerfüllter Kinderwunsch, wiederholte Fehlgeburten
  • Starke Regelbeschwerden und Blutungen mit Folgen einer Eisenmangelanämie
  • Bei grossen Myomen evtl. vermehrter Harndrang oder Verstopfung
  • Lediglich sehr selten wird ein Myom bösartig (ca. 0.1%). Trotzdem müssen Myome regelmässig ärztlich kontrolliert werden