Muskelzerrung oder Muskelfaserriss durch Trauma
Muskelzerrung oder Muskelfaserriss durch Trauma

Die häufigsten Verletzungen meist beim Sport erlitten sind Muskelzerrungen, Muskelfaserrisse und Muskelrisse.

  • Muskelzerrung: Überdehnung des Muskels, die Struktur bleibt erhalten
  • Muskelfaserriss: Durch anhaltende Muskelüberlastung können kleinste Verletzungen Muskelfaserrisse (Risse einzelner Muskelbündel) entstehen
  • Muskelriss: Durchtrennung des Muskels über den ganzen Querschnitt

Alle drei Bezeichnungen sind ein und dasselbe Krankheitsbild, stellen nur verschiedene Grade der Überbeanspruchung dar. Man spricht von einer Muskelzerrung, wenn der Muskel überdehnt wird, in seiner Struktur aber erhalten bleibt. Wenn die Überbelastung des Muskels anhält, treten Verletzungen wie Muskelfaserrisse (einzelne Muskelbündel) oder gar Muskelrisse (Durchtrennung im über den ganzen Querschnitt eines Muskels) ein.

Die Ursache für Muskelverletzungen sind meist Maximalbelastungen in nicht ausreichend trainierter oder erwärmter Muskulatur sowie starke Überdehnung. Seltener sind äussere Gewalteinwirkungen die Ursache. Wie erwähnt kann eine Überbeanspruchung mit steigendem Ausmass als Muskelzerrung, Muskelfaserriss oder Muskelriss enden. Risikofaktoren für eine Muskelverletzung sind Neigung zu Verhärtungen, kalte Witterung und ungenügendes Aufwärmen vor Belastung oder mangelndes Training.

Muskelzerrung: starke krampfartige Schmerzen, Dellen, Bluterguss
Muskelzerrung: starke krampfartige Schmerzen, Dellen, Bluterguss

Beschwerden, die auf eine Muskelzerrung hindeuten können, sind unter anderem:

  • Druck-, Dehn- und Anspannungsschmerzen
  • Bei Muskelzerrung eher zunehmender, krampfartiger Schmerz, bei Muskelfaserriss eher akuter, stechender Schmerz
  • Bei grösseren Muskelfaserrissen (Ab Grad II) werden Dellen im Muskel sichtbar, beim vollständigen Riss, evtl. eine starke Vorwölbung
  • Die Funktion des Muskels bzw. des betroffenen Gliedes ist ab Grad II Muskelfaserrissen eingeschränkt
  • Im Laufe der Zeit Schwellung durch Blutungen bei gröberen Verletzungen
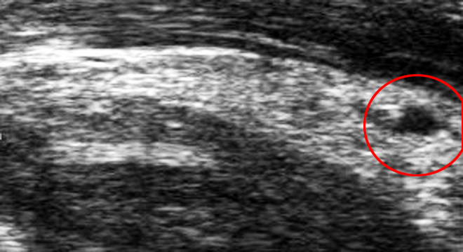
Muskelzerrung: im Ultraschallbild Riss und Bluterguss
Muskelzerrung: im Ultraschallbild Riss und Bluterguss

Zur Diagnose einer Muskelzerrung werden verschiedenen Untersuchungen und Abklärungen durchgeführt. Dazu gehören unter anderem:

  • Erhebung der Krankengeschichte: Die Beschreibung der Schmerzen und der Funktion des betroffenen Gliedes lässt bereits auf das Ausmass der Verletzung schliessen
  • Klinische Untersuchung des betroffenen Körperteils
  • Ultraschall: Lokalisation und Ausmass eines Risses und eines Blutergusses (Hämatom) können genau bestimmt werden.
Muskelzerrung: Ultraschalltherapie regneriert den Muskel
Muskelzerrung: Ultraschalltherapie regneriert den Muskel

Konservative Therapie ohne Operation

  • Ab dem ersten bis zum dritten Tag nach Verletzung Elektrotherapie
  • Ab dem vierten Tag Behandlung mit Interferenzstrom
  • Evtl. (zusätzlich) Ultraschalltherapie (Regeneration des Muskels wird angeregt)
  • Physiotherapie: Muskelaufbau, zunehmende Belastung
  • Grundsatz: Wenn schmerzfrei, darf voll belastet werden
  • Passive Dehnung und Massagen erst ab der 6. Woche

Operation

Eine Operation muss meistens nur dann ins Auge gefasst werden, wenn entweder im Querschnitt mehr als zwei Drittel eines Muskels gerissen sind oder ein grosser Bluterguss entstanden ist. Mit selbst auflösenden Fäden werden die Muskelfasern wieder zusammengefügt. Anschliessend muss mit einer Ruhigstellung für mindestens vier Wochen und mit einem langwierigen Muskelaufbautraining gerechnet werden.

Notfallmassnahmen (Erste Hilfe)

Bei nahezu jeder akuten Sportverletzung kann nach dem PECH-Schema vorgegangen werden. Schnelles Handeln ist gefragt.

P = Pause - sofortiger Sportunterbruch
E = Eis - Kühlen der verletzten Stelle, sofern es sich nicht um eine offene Wunde handelt. Es muss nicht unbedingt Eis sein, auch kalte Umschläge können helfen
C = Compression - Druckverband wirkt der Schwellung entgegen; Achtung: Nicht zu fest anlegen, damit die Druchblutung der Extremität nicht unterbunden wird
H = Hochlagern - Bei Verletzungen, welche die Extremitäten (Arme, Beine) betreffen, wird der Rückfluss des Blutes und der Schwellflüssigkeit durch Hochlagern erleichtert. Natürlich gilt das nicht für Menschen, die bewusstlos sind und bei denen der Verdacht auf eine Kopf- Schulter- und Rückenverletzung besteht. Im Zweifelsfall Eiswickel machen oder die verletzte Extremität ruhig stellen und ab zum nächsten Arzt oder Spital.

Eine Muskelzerrung kann unter anderem folgende Komplikationen verursachen:

  • Insbesondere nach starken Blutungen in den Muskel können Narben im Muskel entstehen. Folge: der Muskel ist nicht mehr so dehnungsfähig wie ursprünglich und ist anfällig für neue Verletzungen, insbesondere neue Zerrungen, Risse und Blutungen.
  • Myositis ossificans: Bei zu früh einsetzenden Massagen, zu frühem Training oder unzureichender Behandlung kann sich eine abkapselnde, chronische Entzündung entwickeln. Mit der Zeit bilden sich narbige Veränderungen, welche verknöchern können. Dies führt aufgrund der verminderten Dehnbarkeit wieder zu einem erhöhten Verletzungsrisiko.
  • Entstehung einer Zyste: Um das geronnene Blut im Muskel bildet sich eine Kapsel und es entsteht ein sackartiges Gebilde im Muskel. Wenn dies stört muss die Zyste evtl. operativ entfernt werden.
Muskelzerrung: Aufwärmen der Musklen vor dem Sport
Muskelzerrung: Aufwärmen der Musklen vor dem Sport
Die wichtigste Massnahme ist das Aufwärmen der Muskulatur vor der körperlichen Belastung. Vorsicht bei kalter Witterung, nach früheren Verletzungen und wenn bekannt ist und bei bekannter Muskelverhärtung.