Morbus Sudeck: entzündliche Erkrankung des Bindegewebes
Morbus Sudeck: entzündliche Erkrankung des Bindegewebes

Der Morbus-Sudeck (Sudeck- Dystrophie) ist eine entzündliche Erkrankung des Bindegewebes. Der M. Sudeck tritt meistens als Folge einer Verletzung an Arm, Hand, Schulter, Fuss oder Unterschenkel auf.

Typisch beim M. Sudeck sind nach Ablauf des Heilungsprozesses der Verletzung wiederauftretende Schmerzen, Schwellungen, Bewegungsstörungen, Hautveränderungen sowie Temperaturdifferenzen am ehemals verletzten Körperteil. Im schlimmsten Fall kommt es zum totalen Funktionsverlust der betroffenen Extremität.

Die Behandlung des M. Sudeck erfordert viel Geduld und Aktivitäten seitens des Patienten. Und: Je früher behandelt wird, desto grösser sind die Heilungsaussichten.

Frauen in den Wechseljahren sind am häufigsten von der Entwicklung eines Morbus Sudeck betroffen.

Die Krankheit wurde benannt nach dem Hamburger Chirurgen Paul Sudeck um 1900; beschrieben wurde sie aber schon früher bei Soldaten mit Schusswunden.

Ursachen eines Morbus Sudeck können sein:

  • Extremitätenverletzung nach Unfall (z.B. Knochenbruch, Prellung, Quetschung, Verstauchung, Verbrennungen), Operationswunde, lokaler Infekt (Abszess)
  • Verstärkte Physiotherapie nach Ruhigstellung wegen einer Verletzung
  • Neurologische Erkrankung
  • Spontanes Auftreten des M. Sudeck, ohne erkennbare Ursache (selten)

Es kommt nicht auf die Schwere der Verletzung an, ob ein ''Sudeck'' auftritt oder nicht; schon kleine Bagatellverletzungen können einen M. Sudeck zur Folge haben. Deshalb nimmt man an, dass die Ursache ein überschiessender Reflexmechanismus des Nervensystems ist.

Studien weisen darauf hin, dass psychische Faktoren wie Stress, Belastung, Depression oder Lebenskrisen durch Tod oder Scheidung etc. die Entstehung eines M. Sudeck begünstigen können. Warum es bei der gleichen Verletzung bei einer Person zur Entwicklung eins M. Sudeck kommt und bei einer anderen nicht, ist immer noch unbekannt.

Grundsätzlich unterscheidet man 3 Stadien der Erkrankung:

  • Stadium I: Entzündung mit Schwellung, Überwärmung, Rötung
  • Stadium II: Durchblutungs-/Ernährungsstörung mit Abkühlung
  • Stadium III: Gewebeschwund (Atrophie)
Morbus Sudeck: typische Schwellungen
Morbus Sudeck: typische Schwellungen

Beschwerden, die auf einen Morbus Sudeck hindeuten können, sind unter anderem:

  • Schmerzen: Ruheschmerzen oder Nachtschmerzen, Bewegungsschmerzen
  • Hautveränderungen: Schwellung der Haut (sie wird prall, glänzend, teigig), bläulich-rote Verfärbungen, vermehrtes Schwitzen, oberflächliche Venen sind verstärkt erkennbar.
  • Temperaturdifferenz: Zunächst Überwärmung (gegenüber einem gesunden Körperteil), danach ist der Körperteil kühler.
  • Schwellungen: Gelenksschwellung und die Beweglichkeit ist eingeschränkt.

Im fortgeschrittenen Verlauf:

  • Muskelatrophie: Muskelschwund, die Muskeln werden nach anfänglicher Schwellung dünn.
  • Hautatrophie: die Haut wirkt glatt, glänzend, ist schlecht verschiebbar; besonders an Hand- und Fussrücken ist verstärkter Haarwuchs festzustellen.
  • Gelenkversteifungen:   Gelenkkapseln und Bänder schrumpfen, die Gelenke werden zunehmen steif.
  • Temperaturverschiebung: Durch die Minderdurchblutung kommt es zu lokaler Unterkühlung
  • Knochenschwund /Osteoporose: ist nur im Röntgenbild sichtbar.
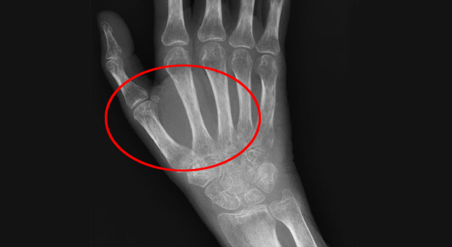
Morbus Sudeck: Weichteilausdehnung im Röntgenbild
Morbus Sudeck: Weichteilausdehnung im Röntgenbild

Es gibt keinen Labortest, mit dem man einen M. Sudeck beweisen kann. Der Arzt stellt einen M. Sudeck vorwiegend auf Grund der körperlichen Befunde sowie der Krankengeschichte fest.

  • Thermomessungen: Messung der Wärmeabgabe von der Körperoberfläche
  • Schweisssekretionsmessung
  • Röntgen, Computertomographie, Magnetresonanz: damit können Knochenentkalkungen aufgezeigt werden
  • Sympathikusblockaden: damit wird versucht, mittels Anästhesie die Sympathikusaktivität* zu dämpfen; dies ergibt diagnostische Informationen und hat auch eine therapeutische Wirkung, sofern der M. Sudeck sympathikus-abhängig ist. *der Sympathikus ist ein Teil des vegetativen Nervensystems.
  • 3-Phasenszintigrafie: spezielle nuklearmedizinische Untersuchung

Schmerzen und Schwellungen an Gliedmassen können auch von andern Erkrankungen herrühren; deshalb ist es wichtig, dass diese ausgeschlossen werden (z.B. Beinvenenthrombosen, Lymphödeme bei Flüssigkeitsansammlungen und Störungen im Lymphsystem, Lymphknotenbefall bei Brustkrebs).

Morbus Sudeck: Medikamentöse und Aktivbehandlung
Morbus Sudeck: Medikamentöse und Aktivbehandlung

Ein frühzeitiger, meist stationärer Behandlungsbeginn durch einen erfahrenen Facharzt (Rheumatologen, Anästhesisten, Orthopäden oder manchmal Neurologen) ist sehr Entscheidend für die Heilungschancen. In die Behandlung müssen nebst den körperlichen auch die psychischen Faktoren miteinbezogen werden.

Ziel der Behandlung ist die Erhaltung der normalen Benutzung des betroffenen Körperteils, d.h. die Beweglichkeit der Extremitäten. Die Behandlung erfordert sowohl von Seiten des Patienten wie auch der Therapeuten viel Geduld. Der Verlauf ist schwer beeinflussbar und die seelische Belastung durch die Schmerzen gross.

Schmerzbehandlung medikamentös

Keine eigene Wärmebehandlung ausprobieren; Wärme verstärkt meistens die Beschwerden.

In der Schmerztherapie wird die Schmerzart berücksichtigt.

Dabei kommen unter anderen folgende Wirkstoffe zum Zug:

  • Antirheumatika (bei Dauerschmerz mit Entzündung)
  • Antidepressiva (bei Dauerschmerz und Schlafstörungen)
  • Opioide, Opiate (bei sehr starken Schmerzen, bei Schmerzen, die durch Störungen des Sympathikus ausgelöst werden, bei Muskelkrämpfen)
Weitere Möglichkeiten der Schmerzbekämpfung
  • Sympathikusblockade: damit wird versucht, mittels Anästhesie die Sympathikusaktivität* zu dämpfen; dies ergibt diagnostische Informationen und hat auch therapeutische Wirkung, sofern der M. Sudeck sympathikus-abhängig ist. *der Sympathikus ist ein Teil des vegetativen Nervensystems.
  • Elektrische Rückenmark sstimulation
  • Epiduralanästhesie: Blockade der Nervenleitung im Rückenmark
Weitere Medikamente

Physiotherapie, Ergotherapie

Wichtig ist hier die aktive Teilnahme und Übernahme von Selbstverantwortung des Patienten.

  • Erst Ruhigstellung, ev. Schienung des Gelenkes
  • Hochlagern
  • Mild Kühlen (KEINE Eispackungen), kühle Kohlensäurebäder
  • Manuelle Lymphdrainage
  • Elektrotherapie  TENS (transkutane elektrische Nervenstimulationstherapie: Hemmung der Schmerzleitung durch Nervenstimulation mittels Strom)
  • Massagen, Bindegewebsmassagen
  • Vorsichtige, aktive Krankengymnastik
  • Ergotherapie zur Erhaltung der Beweglichkeit
  • Spezialtraining mit Fachleuten
  • Erlernen von Entspannungstechniken, psychosoziale Betreuung

Psychotherapie

Komplementärmedizin

Bei folgenden komplementärmedizinischen Behandlungsmethoden wurden bei M. Sudeck Erfolge beschrieben: Feldenkrais (spezielle Form der Bewegungstherapie), Neuraltherapie, Homöopathie, Akupunktur). Diese können ergänzend zur schulmedizinischen Behandlung ausprobiert werden.