Lungenödem: eine Flüssigkeitsansammlung in der Lunge meist als Folge einer Erkrankung
Lungenödem: eine Flüssigkeitsansammlung in der Lunge meist als Folge einer Erkrankung

Das Lungenödem (im Volksmund: "Wasser in der Lunge") ist eine Flüssigkeitsansammlung in der Lunge. Das Lungenödem tritt meistens als Folge anderer Erkrankungen auf (z.B. einer Herzschwäche oder Nierenerkrankung).

Zu Beginn ist nur das Bindegewebe der Lunge betroffen, die Lungenbläschen (Alveolen) sind noch frei. Später kann auch Flüssigkeit in die Lungenblässchen übertreten.

Der Patient leidet unter starker Atemnot. Oft ist ein brodelndes Atemgeräusch hörbar. Das Lungenödem ist eine lebensbedrohliche Situation und der Patient gehört sofort in ärztliche Behandlung.

Am Häufigsten führt die Herzschwäche - und zwar die der linken Herzkammer (sogenannte Linksherzinsuffizienz) - zu einem Lungenödem. Dabei schafft es die linke Herzkammer nicht mehr, das von der Lunge kommende sauerstoffreiche Blut vollständig in die grosse Körperschlagader (Aorta) zu pumpen. Dadurch staut sich das Blut in die Lunge zurück; damit entsteht ein hoher Druck in den Blutgefässen der Lunge. Durch diesen Druck wird Blutflüssigkeit durch die Gefässwände ins Lungengewebe gepresst.

Andere, das Herz betreffende (kardiogene) Ursachen:

Weitere Ursachen:

Lungenödem: Schweste Atemnot und brodelnde Atemgeräusche
Lungenödem: Schweste Atemnot und brodelnde Atemgeräusche

Das Lungenödem tritt häufig nachts auf und beginnt mit starkem Hustenreiz und Atemnot .

Bei starker Ausprägung:

  • Schwerste Atemnot
  • Brodelndes Atemgeräusch
  • Starker Husten mit ev. schaumigem, weisslichem Auswurf
  • Schockzeichen mit stark beschleunigtem Herzschlag und Puls
  • Blaufärbung der Lippen durch Sauerstoffmangel (Zyanose)
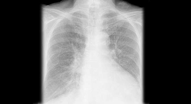
Lungenödem: Röntgenbild der Lunge
Lungenödem: Röntgenbild der Lunge

Anhand des klinischen Bildes mit den oben genannten Beschwerden stellt der Arzt das Lungenödem fest. Beim Abhören der Lunge mit dem Stethoskop (Auskultation) sind typische Atemgeräusche (sogenannte feuchte Rasselgeräusche) zu hören. Im Lungenröntgen sind Zeichen der Flüssigkeitsansammlung zu sehen. Die Blutgaswerte geben Aufschluss über das Ausmass des Sauerstoffmangels.

Weitere Untersuchungen zur Abklärung der Ursache:

  • Ausführliche Krankengeschichte: Herzprobleme, Nierenerkrankungen, Lungeninfektionen, berufliches Umfeld (ev. Staub- oder Gasexposition), Familien-Krankengeschichte, Raucherstatus
  • Elektrokardiogramm (EKG): gibt Hinweise auf Rhythmusstörungen oder Herzinfarkt
  • Ultraschall des Herzens (Echokardiogramm )
  • Blutuntersuchung
  • Nierenfunktionsprüfung
Lungenödem: Patient gehört sofort ins Spital
Lungenödem: Patient gehört sofort ins Spital

Das Lungenödem ist eine lebensbedrohliche Situation und der Patient muss so rasch wie möglich in ärztliche Behandlung (Notfall!).

Allgemeine Massnahmen

  • Hochlagern des Oberkörpers, Tieflagern der Beine: Erleichtert die Atmung
  • Sauerstoffgabe über Nasensonde oder spezieller Maske, in schweren Fällen ist eine künstliche Beatmung (Intubation ) nötig.
  • Beim Höhen-Lungenödem: Transport ins Tal unter Sauerstoffgabe

Medikamente

Die medikamentöse Behandlung richtet sich nach der Ursache des Lungenödems:

  • Bei Linksherzschwäche: Herzwirksame Medikamente (Nitrate, ACE-Hemmer oder Betablocker) und harntreibende Mittel (Diuretika)
  • Blutdrucksenkende Medikamente bei Bluthochdruck
  • Bei allergischer oder Vergiftung wird Kortison eingesetzt
  • Bei Lungenentzündung, ev. zur Vorbeugung, werden Antibiotika gegeben
  • Bei Nierenerkrankungen kann eine Dialyse notwendig werden.
  • Beruhigungsmittel gegen Unruhe und Angst

Bei rechtzeitiger und adäquater Behandlung lässt sich das Lungenödem meist innerhalb weniger Stunden beseitigen. Erfolgt keine Behandlung oder spricht der Patienten nicht auf die Behandlung an, so kann es zum Erstickungstod führen.

In Folge eines Lungenödems kann sich eine Lungenentzündung entwickeln.

Um das erneute Auftreten eines Lungenödems zu vermeiden, muss die Grunderkrankung konsequent behandelt werden. Dazu gehört die regelmässige Einnahme der verordneten Medikamente, aber auch auf die Gesundheit von Herz und Nieren zu achten (Bewegung, gesunde Ernährung, ausreichende Trinkmenge).