Lungenkrebs, Bronchialkrebs
Lungenkrebs, Bronchialkrebs

Ein Lungenkrebs betrifft meist die Bronchien und macht sehr lange keine besonderen Beschwerden. Bei Männern ist der Bronchialkrebs der häufigste bösartige Tumor. Da immer mehr Frauen rauchen, steigt die Anzahl der weiblichen Erkrankten rasch an.

Seltener sind bösartige Lungentumoren, welche von den Lungenbläschen oder vom Lungengerüst ausgehen.

Lungenkrebs: Häufig durch Rauchen verursacht
Lungenkrebs: Häufig durch Rauchen verursacht

Die Ursache sind krebserregende Stoffe, die eingeatmet werden, in ca. 85 Prozent der Fälle Inhaltsstoffe des Tabakrauchs (Benzpyren), dann auch Arbeitsstoffe wie Asbest und Arsenverbindungen. Radon, ein radioaktives Edelgas, das natürlicherweise im Boden vorkommt, sowie Luftverschmutzungen wie Feinstaub und Russpartikel, sind weitere bekannte Risikofaktoren. Die genetische Veranlagung spielt ebenfalls eine Rolle.

Je nach Gewebetyp des Tumors wird hauptsächlich zwischen kleinzelligem und nicht kleinzelligem Bronchialkarzinom unterschieden. Der nicht kleinzellige Typ macht dabei etwa 75% aller Bronchialkarzinome aus.

Lungenkrebs: Husten, Atemnot, Schmerzen im Spätstadium
Lungenkrebs: Husten, Atemnot, Schmerzen im Spätstadium

Bei Lungenkrebs gibt es im Frühstadium keine typischen Symptome. Die Erkrankung wird in der Mehrzahl der Fälle spät oder sogar zu spät diagnostiziert. Deshalb sterben so viele Patienten an Lungenkrebs.

Husten, Atemnot und Schmerzen im Brustkorb sind unspezifische Symptome, Bluthusten kommt oft erst im weit fortgeschrittenen Stadium hinzu. Nicht enden wollende Erkältungsbeschwerden (spätestens nach 4 Wochen Husten) gehören in ärztliche Behandlung.

Symptome im Spätstadium:

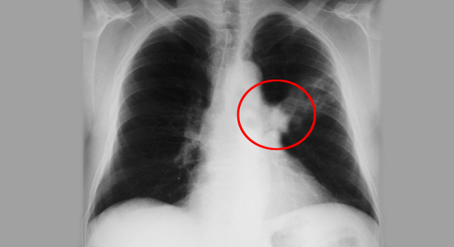
Lungenkrebs: Sichtbar im Röntgenbild
Lungenkrebs: Sichtbar im Röntgenbild

Zur Diagnose eine Lungenkrebses werden verschiedene Untersuchungen und Abklärungen durchgeführt. Dazu gehören unter anderem:

  • Krankengeschichte unter Einbezug der Symptome
  • Röntgenaufnahme der Lungen
  • Spiegelung der Bronchien (Bronchoskopie)
  • Gewebeprobe (Biopsie)
  • Computertomographie
  • Ultraschall der Leber
  • Knochenszintigraphie
  • Spiegelung des Mittelfells (Mediastinoskopie)

Die genaue Diagnostik erlaubt es, das Stadium der Erkrankung zu beurteilen. Die Klassifikation erfolgt nach dem TNM-System; dabei werden die Grösse des Tumors, der Lymphknotenbefall und eventuelle Ableger (Metastasen) berücksichtigt.

Lungenkrebs: Teilentfernung der Lunge
Lungenkrebs: Teilentfernung der Lunge

Wird die Krebserkrankung rechtzeitig erkannt (der Herd ist klein, die Lymphknoten haben noch keine Ableger (Metastasen), kann der betroffene Teil der Lunge entfernt werden, wenn der Allgemeinzustand und die Lungenreserven des Patienten dies zulassen. Ist der Tumor bereits grösser, oder sind schon Metastasen vorhanden, muss im Anschluss an eine eventuelle Operation eine Bestrahlung und Chemotherapie durchgeführt werden. Oft ist es jedoch bereits zu spät für eine heilende Behandlung. In diesen Fällen bleibt meist die Bestrahlung und die Chemotherapie die Behandlung der Wahl. Die Lebenserwartung ist abhängig von der Lage des Tumors, dem Gewebetyp, dem Stadium der Erkrankung und dem allgemeinen Gesundheitszustand.

Mögliche Komplikationen eines Lungenkrebses sind:

  • Lungenblutungen
  • Erhöhte Anfälligkeit für Lungenentzündungen in den Luftwegen hinter dem Tumor
  • Bildung von Metastasen in anderen Organen (Leber, Knochen, Hirn)
  • Viele Patienten sterben am Lungenkrebs, wenn der Tumor nicht in einem frühen Stadium entdeckt wird
Lungenkrebs: Sofortiger Rauchstopp
Lungenkrebs: Sofortiger Rauchstopp

Sofortiger Rauchstopp oder Wechsel des Arbeitsplatzes bei entsprechender Gefährdung. Nicht enden wollende Erkältungsbeschwerden (spätestens nach 4 Wochen) gehören in ärztliche Behandlung, insbesondere bei Rauchern.