Leukämie: Vermehrung bestimmter weisser Blutkörperchen
Leukämie: Vermehrung bestimmter weisser Blutkörperchen

Bösartige Erkrankung (Krebserkrankung) mit abnormaler Vermehrung der weissen Blutkörperchen (Leukozyten, Lymphozyten, Monozyten usw.). Diese sind die "Polizisten" des Körpers, sie sorgen für die Abwehr- und Aufräumarbeiten bei Infekten, Verletzungen und Bedrohung durch Fremdmaterial.

Bei den Leukämien kommt es zu einer bösartigen Veränderung der Stammzellen (ursprünglichen Mutterzellen). Die daraus entstehenden Zellen (Myeloblasten) vermehren sich rasch und verdrängen die gesunden Blutzellen im Knochenmark. Ausgehend vom Knochenmark werden die kranken Zellen in die Blutbahn entlassen und gelangen so in andere Organe. Dort geht das Teilen und Vermehren ungehemmt weiter.

Man unterscheidet 2 verschiedene Formen der akuten Leukämie:

  • Akute lmyphatische Leukämie (ALL) : Diese geht von Vorläuferzellen der Lymphozyten, den Lymphoblasten, aus und betrifft vorwiegend Kinder, aber auch wieder ältere Menschen.
  • Akute myeloische Leukämie (AML) : Diese geht von verschiedenen Vorläuferzellen aus und trifft vor allem Erwachsene.

Akute Leukämien werden nach der Zellfamilie, von der sie abstammen, charakterisiert. Nach ihrer Abstammung werden z.B. lymphatische, myeloische oder undifferenzierte Leukämien unterschieden.

Die Ursachen sind weitgehend unbekannt. Als begünstigende Faktoren gelten:

  • Gewisse Viren
  • Umweltgifte
  • Radioaktive Strahlung
  • Frühere Chemotherapien
  • Erbliche Faktoren
  • Immunschwäche
Leukämie: Häufiges Nasenbluten und Blutarmut
Leukämie: Häufiges Nasenbluten und Blutarmut

Beschwerden, die auf eine Leukämie hindeuten können, sind unter anderem:

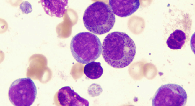
Leukämie: Knochenmark und Blutzellen unter dem Mikroskop
Leukämie: Knochenmark und Blutzellen unter dem Mikroskop

Zur Diagnose der akuten Leukämie werden verschiedenen Untersuchungen und Abklärungen durchgeführt. Dazu gehören unter anderem:

  • Krankengeschichte und Symptome
  • Blutuntersuchungen
  • Knochenmarkaspiration, Untersuchung des Knochenmarks mit verschiedenen Färbe- und Immunfluoreszenzmethoden
Leukämie: Behandlung erfolgt im Spital
Leukämie: Behandlung erfolgt im Spital

Eine vollständige Heilung ist grundsätzlich möglich, jedoch nur mit intensiven, wiederholten Chemotherapien zu erreichen. Kinder mit ALL haben eine gute Prognose; die Mehrheit kann geheilt werden. Bei Erwachsenen ist die Prognose etwas schlechter.

Durch die regelmässigen, intensiven Behandlungen wird die noch verbleibende normale Blutbildung vorübergehend zusätzlich stark verringert (Knochenmark-Aplasie). Dies ist dann die heikelste und für den Patienten gefährlichste Phase der Therapie, weil seine Abwehr stark geschwächt ist.

Grundsätzlich unterscheidet man bei einer Therapie die:

  • Induktionsphase (Erreichen einer Remission = Erreichen eines leukämiefreien Zustandes)
  • Postremissionsphase  und die Konsolidierungsphase (schrittweise Vernichtung der noch verbleibenden, unsichtbaren Leukämie-Zellen) 

Diese Therapiephasen bestehen aus verschieden intensiven und unterschiedlich häufigen Chemotherapiezyklen mit verschiedenen Medikamenten.

Die Bedeutung der Transplantation

Als Postremissionstherapie hat die Knochenmark- oder Stammzelltransplantation das höchste Potential, den Patienten zu heilen. Der Nachteil liegt in den schweren Frühkomplikationen. Bei einem optimalen Spender (Geschwister) sterben immerhin 20% der Patienten daran. Das Risiko tödlicher Frühkomplikationen nimmt mit steigendem Alter stetig zu. Wird diese Phase jedoch überlebt, ist die Chance auf Heilung gut.

Die akute Leukämie ist grundsätzlich heilbar, muss aber innerhalb weniger Wochen behandelt werden. Unbehandelt führt die Leukämie zum Tod, da verschiedene lebenswichtige Funktionen wie die Blutbildung, die Blutgerinnung und die Infektionsabwehr nicht mehr wahrgenommen werden können.

Verschiede Faktoren bestimmen den Verlauf:

  • Alter des Betroffenen
  • Leukämietyp
  • Veränderungen, die im Erbgut stattgefunden haben
  • Knochenmarktransplantationsmöglichkeiten (familiär)