Leberkrebs: Anatomie der Verdauungsorgane
Leberkrebs: Anatomie der Verdauungsorgane

Leberkrebs ist ein bösartiger Krebs, der sich aus den Zellen der Leber entwickelt. Er ist selten, tritt jedoch bei bestimmten Vorerkrankungen der Leber (alkoholische Leberschrumpfung, chronische Hepatitis) häufiger auf.

Männer sind etwa doppelt so häufig betroffen wie Frauen. Bei Diagnose sind die Betroffenen meist zwischen 50 und 60 Jahre alt.

Auch Tumore, die aus den Zellen der Gallengänge entstehen (Gallengang-Krebs), werden zum Leberkrebs gerechnet.

Viel häufiger kommen Metastasen (Tochtergeschwulste) von anderen Krebsarten in der Leber vor. Vor allem bei  Brustkrebs, Magenkrebs oder Darmkrebs, Prostatakrebs, Lungenkrebs oder Gebärmutterkrebs kommt es zu Metastasen in der Leber.

Der genaue Mechanismus der Entstehung von Leberkrebs ist nicht bekannt. Eine wichtige Rolle scheinen chronische Entzündungen der Leberzellen zu spielen, die zu einer dauerhaften Schädigung der Leberzellen führen.

Die häufigsten Ursachen (mehr als 80% der Fälle) sind:

  • Leberzirrhose (narbige Leberschrumpfung), meist bedingt durch chronischen Alkoholkonsum
  • Chronische Hepatitis-Infektion (chronische Hepatitis B oder C)

Weitere Ursachen können sein:

  • Schimmelpilz-Vergiftung (Aflatoxin auf Nahrungsmittel)
  • Vergiftungen mit bestimmten Substanzen (z.B. Arsen oder Vinylchlorid im PVC)
  • Krankhafte Eisenspeicherung (Hämochromatose)
  • Bestimmte, erbliche Stoffwechselerkrankung (Alpha1-Antitrypsinmangel)
Leberkrebs: lange keine Beschwerden
Leberkrebs: lange keine Beschwerden

Häufig wird Leberkrebs sehr spät erkannt, da lange keine Beschwerden bestehen.

Beschwerden können sein:

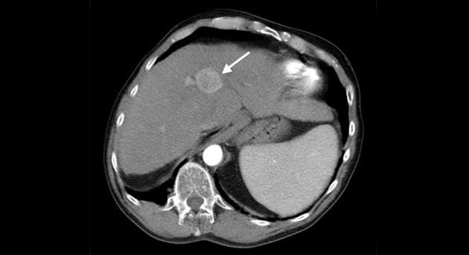
Leberkrebs: Computertomographie zeigt Tumor in der Leber
Leberkrebs: Computertomographie zeigt Tumor in der Leber

Zur Diagnose eines Leberkrebses werden verschiedene Untersuchungen und Abklärungen durchgeführt. Dazu gehören unter anderem:

  • Krankengeschichte unter Einbezug der Symptome (Nachfragen nach Alkoholkonsum)
  • Körperliche Untersuchung
  • Blutuntersuchung (spezieller Tumormarker: Alpha-Fetoprotein, Nachweis einer Hepatitis-Infektion)
  • Ultraschalluntersuchung
  • Computertomographie (CT)
  • Magnetresonanztomographie (MRI)
  • Ev. Entnahme einer Gewebeprobe aus der Leber
Leberkrebs: häufig eine Lebertransplantation nötig
Leberkrebs: häufig eine Lebertransplantation nötig

Allgemeine Massnahmen

  • Strikte Alkoholabstinenz
  • Fettarme Nahrung

Chirurgisch

Vor allem kleinere Tumoren können mit gutem Erfolg operiert werden. Ob eine Operation möglich ist hängt von der Lage des Tumors und seiner Grösse ab.

Bei Patienten mit Leberzirrhose (Leberschrumpfung) und Leberkrebs kann eine Lebertransplantation erfolgen (ist nur in 10-30% der Fälle überhaupt möglich).

Medikamentöse und andere Therapieverfahren

  • Kleinere Tumoren (4-5 cm Durchmesser) können durch Injektion von hochkonzentriertem Alkohol direkt in den Krebsherd zerstört werden.
  • Chemotherapie: Die derzeit wirksamste Chemotherapie ist die sogenannte lokale Chemoembolisation. Dabei werden die Medikamente mit Fetttröpfchen kombiniert und direkt in den Tumor gespritzt. Die Mischung bleibt in den Blutgefässen des Tumors stecken und entfalten so ihre Wirkung.
  • Tumorzerstörung mittels Laser (Laserablation) oder Hochfrequenzsschwingungen (Radiofrequenzablation); hier sind oft mehrere Sitzungen notwendig.
  • Palliative Therapie: Kann der Tumor aufgrund seiner grossen Ausdehnung nicht mehr operiert werden, ist das Ziel nicht mehr die Heilung, sondern die Lebensqualität des Patienten bestmöglichst zu erhalten.

Kann der Krebs operiert werden leben ca. 50% der Patienten noch bis zu fünf Jahren. Leberkrebs wird in der Regel erst spät erkannt, daher ist die Prognose bei den meisten Betroffenen schlecht.

Alle sechs Monate wird eine körperliche Untersuchung, Ultraschall und Blutuntersuchung (Tomormarker AFP) empfohlen.

Moderater Alkoholkonsum
Moderater Alkoholkonsum

Zur Vorbeugung gegen einen Lebekrebs werden folgende Massnahmen empfohlen

  • Alkoholabstinenz oder höchstens moderater Alkoholkonsum
  • Hepatitis B -Impfung kann das Risiko für Leberkrebs senken.
  • Patienten mit bekannter Leberzirrhose sollten alle drei bis sechs Monate eine Ultraschalluntersuchung durchführen lassen.