Knöchelbruch: starke Schmerzen, Schwellung und Bluterguss
Knöchelbruch: starke Schmerzen, Schwellung und Bluterguss
Der knöcherne Unterschenkel besteht aus dem Wadenbein und dem Schienbein. Die unteren Enden der beiden Knochen sind etwas aufgetrieben und bilden das Sprunggelenk, respektive gegen aussen die Knöchel. Durch eine Verletzung kann entweder der Innen- oder der Aussenknöchel, oder seltener auch beide, brechen. Malleolus heisst auf Lateinisch Knöchel; der medizinische Ausdruck für Knöchelbruch deshalb: Malleolarfraktur.

Eine Fraktur der Knöchel kommt durch das plötzliche, starke Umknicken des Fusses gegen innen oder aussen zustande. Starke Bänder fixieren die Sprunggelenkgabel, welche erhebliche Schwerkräfte auffangen muss. Das wichtigste Band, die Syndesmose, kann entweder mit reissen oder aber auch nicht. Da es für die Therapie von Bedeutung ist, ob die Syndesmose intakt ist oder nicht, werden die Knochenbrüche je nach Höhe des Bruchspaltes und damit der Wahrscheinlichkeit eines Risses der Syndesmose eingeteilt:

  • Weber A Fraktur: Bruch unterhalb der Syndesmose; das Gelenk ist noch stabil
  • Weber B Fraktur: Bruch auf Höhe der Syndesmose; das Band ist häufig mit betroffen, das Gelenk kann jedoch noch stabil sein
  • Weber C Fraktur: Bruch oberhalb der Syndesmose; das Band ist gerissen, das Gelenk instabil

Je nach dem, ob einer oder beide Knöchel betroffen sind, spricht man von einer Malleolar- oder einer Bimalleolarfraktur. Bei einer Trimalleolarfraktur ist zusätzlich noch die hintere Kante des Schienbeins abgebrochen.

Beschwerden, die auf einen Knöchelbruch hindeuten können, sind unter anderem:

  • Spontan- und Druckschmerz über dem betroffenen Knöchel
  • Schwellung und evtl. Bluterguss im Bereich des Sprunggelenks
  • Schmerzhafte Bewegungseinschränkung
  • Evtl. Fehlstellung des Fusses gegenüber dem Unterschenkel bei Sprengung der Sprunggelenkgabel
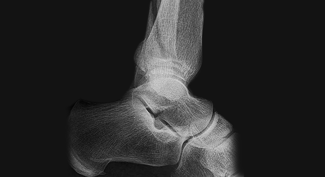
Knöchelbruch: Röntgenbild des Sprunggelenks
Knöchelbruch: Röntgenbild des Sprunggelenks

Zur Diagnose eines Knöchelbruches werden verschiedene Untersuchungen und Abklärungen durchgeführt. Dazu gehören unter anderem:

  • Erhebung der Krankengeschichte mit Unfallhergang und -mechanismus
  • Untersuchung des Fusses und der Nachbargelenke
  • Test der Durchblutung, Sensibilität (Gefühlsempfinden) und Motorik (Beweglichkeit) der betroffenen Extremität
  • Röntgenbild in 2 Ebenen, evtl. auch des ganzen Unterschenkels, da das Wadenbein auch relativ weit oben gebrochen sein kann
  • Bei komplexen Brüchen evtl. Computertomographie zur besseren Operationsvorbereitung
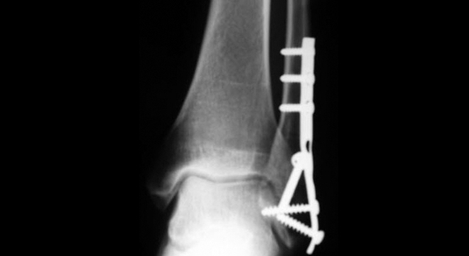
Knöchelbruch: operative Fixation und Stabilisation
Knöchelbruch: operative Fixation und Stabilisation

Konservative Therapie (ohne Operation)

Ohne Operation können Brüche therapiert werden, bei welchen die Syndesmose sowie das Sprunggelenk intakt sind. Die klassische Behandlung ist eine Ruhigstellung des Unterschenkels im Gipsverband während 6 Wochen.

Medikamente

  • Schmerzmittel
  • Thromboseprophylaxe (Blutverdünnung)

Operation

Brüche, bei welchen die Syndesmose gerissen ist oder eine Instabilität des Gelenkes vorliegt, müssen operiert werden. Mit Schrauben, Platten und Drähten werden die Knochenfragmente möglichst präzis wieder in ihre Originalstellung gebracht und fixiert. Das Band wird genäht. Nach der Operation muss das Bein zuerst meist im Gips zumindest teilweise ruhiggestellt werden. Nach ca. 6-8 Wochen kann wieder normal belastet werden; die Dauer ist allerdings abhängig von der Art der Fraktur sowie der operativen Versorgung. Zur Reduktion des Thromboserisikos muss der Betroffene möglichst bald aufstehen; eine Stockentlastung ist unumgänglich.

Notfallmassnahmen (Erste Hilfe)

Bei nahezu jeder akuten Sportverletzung kann nach dem PECH-Schema vorgegangen werden. Schnelles Handeln ist gefragt.

P = Pause - sofortiger Sportunterbruch
E = Eis - Kühlen der verletzten Stelle, sofern es sich nicht um eine offene Wunde handelt. Es muss nicht unbedingt Eis sein, auch kalte Umschläge können helfen.
C = Compression - Druckverband wirkt der Schwellung entgegen; Achtung: Nicht zu fest anlegen, damit die Druchblutung der Extremität nicht unterbunden wird.
H = Hochlagern - Bei Verletzungen, welche die Extremitäten (Arme, Beine) betreffen, wird der Rückfluss des Blutes und der Schwellflüssigkeit durch Hochlagern erleichtert.

Natürlich gilt das nicht für Menschen, die bewusstlos sind und bei denen der Verdacht auf eine Kopf- Schulter- und Rückenverletzung besteht. Im Zweifelsfall Eiswickel machen oder die verletzte Extremität ruhig stellen und ab zum nächsten Arzt oder Spital.

Ein Knöchelbruch kann unter anderem folgende Komplikationen verursachen:

  • Nerven- und Gefässverletzungen durch die Knochenfragmente
  • Thrombose und Lungenembolie
  • Gelenkinstabilitäten bei ungenügend versorgten Bänderrissen
  • Bildung von Fehlgelenken (Pseudarthrosen)
  • Chronische Entzündung (Morbus Sudeck)
  • Abnützungserscheinungen (Arthrose), wenn die Gelenkflächen nicht schön aufeinander passen
  • Durch die Operation können zusätzlich Infektionen und Blutungen als Komplikation auftreten