Herzrhythmusstörungen: zu langsame, zu schnelle, holpernde, stolpernde Herschläge
Herzrhythmusstörungen: zu langsame, zu schnelle, holpernde, stolpernde Herschläge

Unter Herzrhythmusstörung en versteht man zu langsame, zu schnelle oder unregelmässige Herzschläge. Diese können funktionell oder organisch bedingt, harmlos oder krankhaft sein. Bei einem herzgesunden Menschen beträgt die Herzfrequenz zwischen 60 und 100 regelmässigen Schlägen pro Minute.

Man unterscheidet verschiedene Formen von Rhythmusstörungen:

  • Tachykardie: Puls mit über 100 Schlägen pro Minute (bei Babys ist ein hoher Ruhepuls normal)
  • Bradykardie: Puls mit unter 60 Schlägen pro Minute (bei Sportlern ist ein tiefer Puls normal)
  • Arrhythmie: Unregelmässigkeit des Herzschlages
  • Extrasystolen: Extraschläge, die plötzlich auftreten, ausserhalb des regelmässigen Grundrhythmus. Es können dies einzelne Schläge sein, oder mehrere aufeinanderfolgende unregelmässige Schläge ("Herzstolpern").

Je nach Entstehungsort der Herzrhythmusstörung (Herzkammer oder Herz-Vorhof) wird diese anders beurteilt und hat evtl. andere Folgen.

Eine Unterbrechung oder Blockierung des elektrischen Impuls durch spezielle Zellen im Herzgewebe (für die Kontraktion der Herzvorhöfe und -kammern) führt zu Herzrhythmusstörungen. Oft sind keine organischen Ursachen zu finden.

Folgende Erkrankungen oder Faktoren können zu Herzrhythmusstörungen führen:

Herzrhythmusstörungen belasten
Herzrhythmusstörungen belasten

Beschwerden, die auf eine Herzrhythmusstörung hindeuten können, sind unter anderem:

Herzrhythmusstörungen: EKG in Ruhe und unter Belastung
Herzrhythmusstörungen: EKG in Ruhe und unter Belastung

Zur Diagnose einer Herzrhythmusstörung werden verschiedene Untersuchungen und Abklärungen durchgeführt. Dazu gehören unter anderem:

  • Krankengeschichte und Symptome
  • Körperliche Untersuchung (Pulsmessungen, Abhören der Herztöne)
  • Elektro-Kardiogramm (EKG) in Ruhe und unter Belastung
  • Eventuell Langzeit-EKG (über 24 Stunden)
  • Blutuntersuchungen (zum Ausschluss von Elektrolyt- und/oder Stoffwechselstörungen oder zur Messung eines Medikamentenspiegels)
  • Eventuell Auslösen von künstlichen Herzrhythmusstörungen (elektro-physiologische Untersuchung)
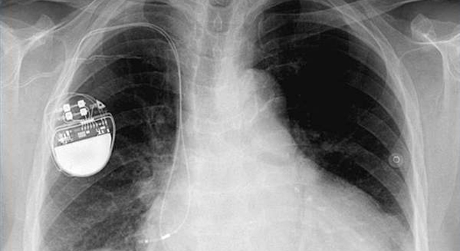
Herzrhythmusstörungen: Ein Herzschrittmacher reguliert den Herzrhythmus
Herzrhythmusstörungen: Ein Herzschrittmacher reguliert den Herzrhythmus

Die Behandlung der Herzrhythmusstörungen richtet sich nach den ursächlichen Faktoren oder Krankheiten. Risikofaktoren wie Übergewicht, Drogen- oder Medikamentenkonsum, Bluthochdruck oder Nikotinkosnum sind zu eliminieren.

Grundsätzlich wird je nach Art der Herzrhythmusstörung wie folgt, einzeln oder in Kombination, behandelt:

Medikamente

Je nach Art der Rhythmusstörung gibt es verschiedene Medikamente mit verschiedenen Wirkstoffen. Manchmal ist zusätzlich eine Blutverdünnung (Antikoagulation) notwendig.

Mögliche Invasive oder chirurgische Massnahmen

  • Elektrische Konversion (Elektroschockbehandlung, Defibrillation)
  • Herzkatheteruntersuchung und gleichzeitiges Ausschalten der Herzrythmusstörungen (Radiofrequenzablation).
  • Einsetzen eines Herzschrittmachers zur Stimulation des Herzens.
  • Einsetzen eines automatischen Defibrillators: Dieser hat den Vorteil, dass er nicht nur zu niedrige Herzfrequenzen steigern, sondern auch zu hohe, unregelmässige, lebensbedrohliche Rhythmen durchbrechen kann.
  • Herzoperation: Kann eine Herzklappenoperation, Bypassoperation oder auch eine Herztransplantation bedeuten.

Jeder Gesunde hat in seinem Leben gelegentlich Herzrhythmusstörung en. Obwohl sie von manchen Menschen als sehr bedrohlich empfunden werden, sind sie meist harmlos. Trotzdem müssen Herzrhythmusstörung en von einem Arzt abgeklärt werden.

Mit Komplikationen muss bei anhaltenden Herzrhythmusstörung en vor allem dann gerechnet werden, wenn der Herzmuskel aufgrund einer organischen Herzerkrankung wie bei koronarer Herzerkrankung, Kardiomyopathie, Herzklappenerkrankung oder Herzmuskelentzündung soweit vorgeschädigt ist, dass er durch die Herzrhythmusstörung seine normale Pumpfunktion nicht aufrechterhalten kann und damit der Kreislauf beeinträchtigt wird.

Die schlimmste Form einer Herzrhythmusstörung ist das sogenannte Kammerflimmern: hier braucht es eine notfallmässige Behandlung durch einen Elektroschock (Defibrillation). Unbehandelt führt das Kammerflimmern zum plötzlichen Herztod.

Herzrhythmusstörungen: Nikotinstopp und viel Bewegung
Herzrhythmusstörungen: Nikotinstopp und viel Bewegung

Mit der Behandlung von zu Grunde liegenden Erkrankungen verschwinden manchmal auch die Herzrhythmusstörungen.

Risikofaktoren wie Übergewicht, Nikotin- und Drogenmissbrauch, Medikamentenmissbrauch müssen ausgeschaltet oder vermindert werden.

Da Herzrhythmusstörungen oftmals auch psychische Ursachen haben, können sich Stressabbau und Entspannungsmethoden günstig auf den Verlauf auswirken.

Auf eigenständige Probleme der Herzelektrik kann der Patient keinen Einfluss nehmen. Er kann die Häufigkeit der Rhythmusstörungen aber mit einer gesunden Lebensweise (Ernährung, Bewegung, genügend Schlaf etc.) beeinflussen.