Herzklappenfehler: Anatomie des Herzgefässsystems
Herzklappenfehler: Anatomie des Herzgefässsystems

Die vier Herzklappen haben im Herz die primäre Aufgabe, als Ventile den Rückstrom des Blutes in die falsche Richtung zu verhindern.

  • Aortenklappe (Auslassventil): sie verhindert den Rückfluss von Blut aus der Hauptschlagader (Aorta) in die linke Herzkammer.
  • Mitralklappe (Einlassventil): Verhindert den Rückfluss des Blutes aus der linken Herzkammer in den linken Vorhof, wenn die Kammer das Blut in den Körperkreislauf ausstösst.
  • Pulmonalklappe (Auslassventil): sie verhindert den Rückfluss aus der Lungenstrombahn in die rechte Herzkammer.
  • Trikuspidalklappe (Einlassventil: ist das Ventil zwischen der rechten Herzkammer und dem rechten Vorhof.
Herzklappenfehler: meist erworben durch Arteriosklerose
Herzklappenfehler: meist erworben durch Arteriosklerose

Sind die Herzklappen erweitert, verengt, nicht mehr dicht oder sogar eingerissen, schliessen sie nicht mehr und das Blut fliesst bei jedem Herzschlag in die Kammern, beziehungsweise in die Vorhöfe, zurück.

Dadurch wird das Herz stark belastet und mit der Zeit so geschwächt, dass die Gesamtleistung des Betroffenen stark abnimmt. Im schlimmsten Fall kommt es zu Herzrhythmusstörungen oder gar zum Herzversagen.

Bei Herzklappenfehlern können die rechte oder die linke Herzhälfte betroffen sein. 

  • Herzklappenfehler der linken Herzhälfte: dabei ist die Aorten- oder Mitralklappe betroffen: es kommt zum linksseitigen Herzversagen (Herzinsuffizienz)
  • Herzklappenfehler der rechten Herzhälfte: dabei ist die Pulmonal- oder Trikuspidalklappe betroffen: es kommt zum rechtsseitigen Herzversagen (Herzinsuffizienz)

Formen von Herzklappendefekten

Dabei unterscheidet man zwischen verengten oder verkalkten Klappen (Klappenstenose, respektive Klappensklerose) und nicht richtig schliessenden Herzklappen (Herzklappeninsuffizienz).

  • Klappenverengung (Stenose) oder Verkalkung (Sklerose):
    - hier fliesst nicht genug Blut durch
  • Klappeninsuffizienz (ungenügendes Schliessen der Herzklappen):
    -  hier fliesst Blut zurück, obwohl die Klappen geschlossen sind

Es gibt viele verschiedene Ursachen für Herzklappendefekte. Erworbene Herzklappenfehler betreffen meistens die linke Seite, also die Aorten- und die Mitralklappe. Der Anteil angeborener Herzklappenfehler ist gering (ca. 1%)

Spezifische Ursachen sind:

  • Verkalkungen (Sklerosen): Die Verkalkungen sind vergleichbar mit den Gefässverkalkungen (Arteriosklerose): meistens ist vor allem die Aortenklappe betroffen.
    Ursachen: Alter, falsche Ernährung, Bewegungsmangel
  • Entzündung der Herzklappen und Herzinnenhaut (Endokarditis):
    Häufig durch ein rheumatisches Fieber bedingt (vor allem bei Mitralklappenstenosen)
  • Herzinfarkt: durch einen Herzinfarkt kann ein Teil des Herzmuskels absterben, die Klappen werden undicht oder in ihrer Funktion eingeschränkt.
  • Infektionen des Herzmuskels durch Bakterien oder Viren (Myokaditis) können zu einer Herzmuskelvergrösserung führen, dann werden die Klappen ebenfalls undicht
  • Angeborene Herzklappenfehler: am häufigsten ist die Pulmonalstenose
Herzklappenfehler: Lange keine Beschwerden
Herzklappenfehler: Lange keine Beschwerden

Die Beschwerden hängen von der Schwere des Herzklappenfehlers ab. Oft machen Klappenfehler zu Beginn lange Zeit keine Beschwerden. Das Herz kann zunächst die Defizite gut kompensieren, mit der Zeit führen die Defekte aber zum Herzversagen (Herzinsuffizienz).

Versagen der linken Herzklappen (Aorten- und Mitralklappe)

Führt zu linksseitiger Herzschwäche (Herzinsuffizienz)

Versagen der rechten Herzklappen (Pulmonal- und Trikuspidalklappe)

Führt zu rechtsseitiger Herzschwäche (Herzinsuffizien)

  • Wasseransammlung (Ödeme) im Körper (Leber, Knöchelbereich), sogenannte Ödeme: starker Leistungsabfall, rasches Ermüden, Atemnot bei Belastung.
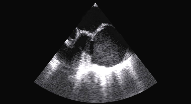
Herzklappenfehler: Echokardiographie (Ultraschall)
Herzklappenfehler: Echokardiographie (Ultraschall)

Zur Diagnose von einem Herzklappenfehler werden verschiedene Untersuchungen und Abklärungen durchgeführt. Dazu gehören unter anderem:

  • Krankengeschichte unter Einbezug der Symptome
  • Körperliche Untersuchung (Abtasten, Abhören)
  • Elektrokardiogramm (EKG): gibt Hinweise auf eine Klappenerkrankung
  • Röntgenbild des Brustkorbes (Thorax): damit können die Herzgrösse und allenfalls Wasseransammlungen beurteilt werden.
  • Echokardiographie (Ultraschall) mit oder ohne Kontrastfarbe (beste Untersuchung zur Diagnose einer Klappenerkrankung): damit werden die Herzbewegung und die Funktion der einzelnen Kammern farbig dargestellt
  • Herzkatheteruntersuchung
Herzklappenfehler: Einsetzen von künstlichen Herzklappen
Herzklappenfehler: Einsetzen von künstlichen Herzklappen

Die Behandlung richtet sich nach der Ursache und ist bei den einzelnen Herzklappenfehlern unterschiedlich. Leichte Herzklappenfehler müssen oft nicht operiert werden. Regelmässige Kontrollen beim Spezialisten (Kardiologen) sind aber wichtig.

  • Therapie bei Herzinsuffizienz
  • Therapie bei Vorhofflimmern
  • Therapie bei Herzklappenstenose (Verengung): Operativ kann mittels eines Ballons die Verengung erweitert werden.
  • Fortgeschrittener Herzklappenfehler: Einsetzen einer künstlichen Herzklappe. Dies erfordert eine anschliessende lebenslange Blutverdünnung
  • Infektionen: Eine von Bakterien verursachte Infektion wird mit Antibiotika behandelt und/oder mit Operation.

Infektionsschutz bei Herzklappenfehlern

Menschen mit Herzklappenfehlern müssen vor chirurgischen Eingriffen mit Antibiotika vor Infektionen geschützt werden. Nur so kann eine Herzklappenentzündung verhindert werden. Man nennt dies die Endokarditis-Prophylaxe.

Unbehandelt führen Herzklappenfehler teilweise zum Tod. Der Verlauf hängt in erster Linie von der Art des Herzklappendefektes ab und davon, wie weit der Herzmuskel bereits geschädigt ist.

Eine konsequente Entzündungsprophylaxe ist in jedem Fall notwendig. Eine Entzündung kann sich sonst in die Umgebung verbreiten, es kommt zu Abszessen und Fisteln. Gewebeteile können sich loslösen und Embolien (Herzkranzgefässverstopfungen) verursachen.

Herzklappenfehler: Gesunde Ernährung und viel Bewegung beugt vor
Herzklappenfehler: Gesunde Ernährung und viel Bewegung beugt vor

Alle vorbeugenden Massnahmen, die das Herz schützen - gesunde Ernährung, genügend Bewegung, normales Gewicht, normaler Blutdruck helfen, erworbenen Herzklappenfehlern vorzubeugen.