Hallux valgus: Fussfehlform des grossen Zehen
Hallux valgus: Fussfehlform des grossen Zehen

Hallux (lateinisch) bedeutet: Grosse Zehe; Valgus (lateinisch) bedeutet: auswärtsgerichtet. Demnach bedeutet Hallux valgus auf deutsch: "Nach auswärts gerichtete grosse Zehe".

Fast immer ist der Hallux valgus eine sekundäre Formveränderung, die bei Fussfehlformen wie z. B. dem Spreizfuss, Plattfuss oder Knickfuss relativ häufig auftritt.

Nur selten ist der Hallux valgus durch eine Störung der Wachstumsfuge im Bereich der Grosszehe angeboren.

Der Begriff sekundäre Formstörung weist darauf hin, dass der Hallux valgus die Folge anderer Störungen ist.

Ursachen sind häufig eine ererbte, den Körper systemisch betreffende Bänder- und Bindegewebsschwäche. Diese begünstigt die Entstehung meist eines Senk-Spreizfusses, wobei das Längsgewölbe sich immer mehr abflacht, das beim Abrollen stark belastete Quergewölbe immer breiter auseinander weicht und damit die Schwäche der Bandverbindungen zwischen den Mittelfussknochen offensichtlich macht.

Hinzu kommt meistens noch ein muskuläres Ungleichgewicht, weil wir durch unseren Wohlstand und das Aufwachsen nicht immer in grüner Umgebung schon in der Kindheit viel zu häufig und über den Tag viel zu lang Schuhe tragen. Das Training der kurzen Fussbinnenmuskulatur, die dem Aufspreizen des Fussgewölbes entgegenwirken kann, wird so verhindert.

Ungeeignetes Schuhwerk z. B. mit zu engem Vorfussbereich oder zu stark angehobener Ferse spielt eine grosse Rolle zur Begünstigung der Formveränderung. Je mehr die Grosszehe zum Fussaussenrand abweicht, desto mehr verstärken Beuge- und Strecksehne diese Tendenz.

Ähnliche Wirkungen zeigen auch Teile der Fussmuskulatur, wie z. B. der M. adductor hallucis; auch er wirkt mit einem zunehmend kraft- und wirkungslosen Gegenspieler immer mehr auf die Abknickung der Grosszehe hin, je weiter sie bereits abgewichen ist.

Ähnlich begünstigend wirken sich auch die statischen Veränderungen z. B. des Fusslängsgewölbes aus.

Hallux valgus: Schmerzen aufgrund entzündetem Schleimbeutel
Hallux valgus: Schmerzen aufgrund entzündetem Schleimbeutel

Wegen des ständigen verstärkten Drucks im Schuh entwickeln sich häufig Reizzustände mit entzündeten Schleimbeuteln, druckbedingten Veränderungen der Haut, die das Tragen normaler Schuhe immer mehr erschweren.

Schliesslich kommen auch häufig Schmerzen im Bereich des Grosszehenballens (Fusssohle unter dem Grosszehengrundgelenk) mit verhornter Auftreibung der Haut, lokal erheblicher Druckschmerzhaftigkeit und Schmerzen beim Abrollen des Fusses hinzu. Früher unbeeindruckte Wanderer klagen so über Schmerzen schon nach kurzer Gehstrecke.

Häufig sind dann auch die arthrotischen Veränderungen, insbesondere im Grosszehengrundgelenk, zu sehen, als Folge der gestörten Gelenkmechanik und des gestörten Abrollens der Grosszehe.

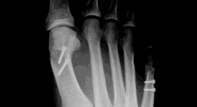
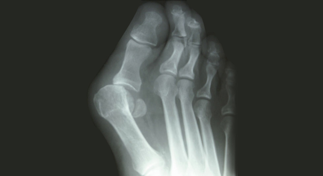
Hallux valgus im Röntgenbild
Hallux valgus im Röntgenbild

Der Hallux valgus kann mit einem Blick festgestellt werden. Typisch ist immer die vorbeschriebene Abweichung der Grosszehe im Grundgelenk zur Kleinzehe hin, zusätzlich wegen des nach innen abgespreizten Mittelfussknochens der deutlich hervortretende, meist sehr druckempfindliche, manchmal auch entzündlich gerötete Ballen. Darunter liegt das Köpfchen des Mittelfussknochens I.

Das Auseinanderweichen des Vorfusses, als Spreizfuss bezeichnet, wird häufig wegen der begleitenden Bänderschwäche auch von einem Absenken des Längsgewölbes Senkfuss begleitet. Die Extremform des Senk-Spreizfusses sind dann der Knick-Spreiz- oder Plattfuss.

Häufig tritt die Senk-Spreizfussdeformität  zusammen mit Hallux valgus, Hammer- oder Krallenzehen auf. Durch das Abweichen der Grosszehe nach aussen wird den kleineren Zehen im relativ zu engen vorderen Anteil des Schuhs der Platz genommen, so dass diese über oder unter die grosse Zehe zu Liegen kommen, des Weiteren in einer krallenartigen Form, nach oben gekrümmt, einsteifen.

Das Röntgenbild sichert die Diagnose durch die sichtbare Aufspreizung des Mittel- und Vorfusses und die Abweichung der Grosszehe.

Hallux valgus: Muss meist operiert werden
Hallux valgus: Muss meist operiert werden

Konservative Therapie

Diese Behandlungsinhalte können sowohl durch den Hausarzt wie auch in der Reha durchgeführt werden.

Zunächst sollte der Patient über die Grundlagen der Erkrankung informiert werden, also über die meist zugrunde liegenden Probleme mit dem Bindegewebe und muskulärer Insuffizienz bzw. Dysbalance. Empfohlene Strategien zur Therapie des Hallux valgus beinhalten das Tragen von adäquatem, flachem Schuhwerk mit genügend Platz für die Zehen und Fussgymnastik. Barfussgehen verbessert vor allem die muskuläre Situation.

Man sollte den Patienten darüber aufklären, dass die Aussichten der konservativen Behandlung im Sinn einer Heilung sehr gering sind, dass das Fortschreiten dieser Erkrankung lediglich zeitweilig aufgehalten bzw. verlangsamt werden kann.

Insoweit ist eine konservative Behandlung nur erfolgversprechend in frühen Stadien bei leichten Fällen und somit bei jüngeren Patienten. Durchgeführt wird sie aber auch bei älteren Patienten, die eine Operation nicht durchführen lassen können oder wollen.

Operative Therapie

Die operative Therapie des Hallux valgus kennt mindestens 150 Operationstechniken mit teils minimalen Abweichungen voneinander, so dass diese hier nicht genannt werden können. Der klinische und radiologische Befund spielen für die Auswahl des letztendlich zu nutzenden Operationsverfahrens eine ebensolche Rolle wie die dem Operateur bekannten Techniken und seine persönliche Erfahrung.

Es können durchaus auch unterschiedliche Verfahren gleichermassen erfolgversprechend sein. Aus diesem Grunde sollten Sie sich vertrauensvoll einem erfahrenen Operateur aus den Fachrichtungen Chirurgie oder Orthopädie zu einer entsprechenden Beratung zuwenden. Die operativen Verfahren sind mittlerweile erprobt und zeichnen sich durch eine überwiegend sehr gute Erfolgsaussicht aus. Rezidive (ein Wiederkehren der Fehlstellung) können jedoch auch hier nicht mit Sicherheit ausgeschlossen werden.