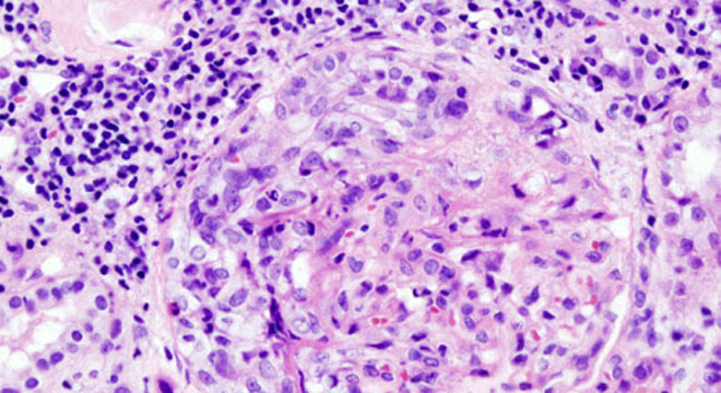
Glomerulonephritis: Entzündliche Veränderungen der Nierenkörperchen
Glomerulonephritis: Entzündliche Veränderungen der Nierenkörperchen

Die Glomerulonephritis ist eine entzündliche Erkrankung der Nieren.

Im engeren Sinn steht der Begriff Glomerulonephritis für eine entzündliche Veränderung der Nierenkörperchen (Glomeruli), welche zum Hauptteil aus einem Gefässknäuel bestehen, die den Primärharn filtrieren.

Im Gegensatz dazu gibt es nicht entzündliche Erkrankungen der Nierenkörperchen wie die typische Nierenerkrankung des Diabetikers. Bei einer Entzündung kann es sich grundsätzlich um eine infektiöse oder nicht infektiöse Erkrankung handeln.

Die Glomerulonephritis ist eine der häufigsten Ursachen für eine chronische Niereninsuffizienz, die eine  Blutwäsche (Dialyse) notwendig machen.

Bestimmte Formen der Nierenentzündung verlaufen ohne grosse Einschränkung der Nierenfunktion, bei andern kann die Nierenfunktion total ausfallen. Ein totaler Ausfall der Nierenfunktion ist lebensbedrohlich.

Sind nur die Nieren betroffen, spricht man von einer primären Glomerulonephritis. Ist die Glomerulonephritis hingegen die Folge einer anderen Erkrankung, spricht man von sekundärer Glomerulonephritis.

Die primäre Glomerulonephritis kann auch als Autoimmunerkrankung bezeichnet werden. Dabei wendet sich das Immunsytem gegen den eigenen Körper, im Fall der Glomerulonephritis gegen die Nierenkörperchen. Warum es zu dieser Reaktion kommt ist nicht bekannt. Allerdings wird die Glomerulonephritis gehäuft nach einer bakteriellen Infektion mit Streptokokken beobachtet. Zum Beispiel nach einer Hals- oder Mandelentzündung. Man spricht dann auch von post-infektiöser Glomerulonephritis.

Eine sekundäre Glomerulonephritis kann als Komplikation von anderen Erkrankungen auftreten. Zum Beispiel bei Krebserkrankungen, oder bei einer Hepatitis oder einer Syphilis.


Ursachen einer primären Glomerulonephritis

  • Angeborene Störungen
  • In vielen Fällen ist die Ursache nicht genau bekannt
  • Immer mehr Hinweise sprechen dafür, dass Infektionen eine Rolle spielen. Nach Infektionen werden dann Immunkomplexe (Antigen -Antikörper-Gebilde) in den Nierenkörperchen abgelagert, was zur Störung der Harnfiltration führt.
  • In den meisten Fällen sind Autoimmunprozesse in das Krankheitsgeschehen involviert
  • Evtl. Medikamente
  • Direkte Infektion der Nierenkörperchen (in unseren Breitengraden selten)
Glomerulonephritis: Blut und Eiweiss im Urin
Glomerulonephritis: Blut und Eiweiss im Urin

Im Gegensatz zur Nierenbeckenentzündung verläuft die Glomerulonephritis meist schmerzlos und wird dadurch häufig erst bemerkt, wenn die Nieren bereits fortgeschritten krank sind.

Im Verlauf der Krankheit können folgende Symptome auftreten:

  • Blut und Eiweiss im Urin; ev. wird der Urin schaumig, wenn die Eiweisskonzentration hoch ist; bei hoher Blutkonzentration (Makrohämaturie) ist der Urin rot gefärbt.
  • Wassereinlagerungen im Gewebe (Ödeme)
  • Kopfschmerzen, Sehstörungen als Folge von erhöhtem Blutdruck.
  • Akutes Nierenversagen (akute Niereninsuffizienz): wenn die Nierenfunktion sich rapid verschlechtert, kommt es zu einem akuten Nierenversagen, welches unbehandelt tödlich ist.
  • Chronisches Nierenversagen (chronische Niereninsuffizienz): bei einigen Betroffenen schwächt sich die Nierenfunktion langsam ab, bis eine Nierenwäsche (Dialyse) notwendig wird.

Manchmal fällt die Krankheit erst dann auf, wenn die Nieren bereits komplett zerstört sind und eine Blutwäsche (Dialyse) bzw. Transplantation unumgänglich wird.

Glomerulonephritis: Blutbildanalyse
Glomerulonephritis: Blutbildanalyse

Zur Diagnose einer Glomerulonephritis werden verschiedene Untersuchungen und Abklärungen durchgeführt. Dazu gehören unter anderem:

  • Krankengeschichte unter Einbezug der Beschwerden (Symptome)
  • Urin- und Blutanalyse
  • Ultraschall (Nierensonographie)
  • Gewebeprobe (Biopsie)
Glomerulonephritis: Medikamentöse Unterdrückung des Immunsystems
Glomerulonephritis: Medikamentöse Unterdrückung des Immunsystems

Die Behandlung richtet sich nach der Schwere der Erkrankung. Bei der sekundären Glomerulonephritis muss erst die Grunderkrankung behandelt werden. Das Ziel jeder Behandlung ist der möglichst lange Erhalt der Nierenfunktion.

Eventuell keine Behandlung, aber regelmässige Kontrollen, braucht es bei:
geringer Eiweissausscheidung:

  • Geringer Blutausscheidung
  • Normalem Blutdruck
  • Normaler Nierenfunktion (reguläre Urinausscheidungsmenge)

Medikamentös

  • Immunsuppression (Unterdrückung des Immunsystems) mit z.B. Cortison. Die konsequente Behandlung kann das Fortschreiten der Erkrankung bremsen oder sogar die Nierenfunktion wieder verbessern.
  • Ödembehandlung: Diuretika (Wassertabletten)
  • Behandlung der Eiweissausscheidung (Proteinurie) mit ACE-Hemmern
  • Behandlung einer Infektion: Antibiotika
  • Erhöhte Blutdruckwerte (Erwachsene mehr als 130/80 mmHg) müssen konsequent behandelt werden, da der Bluthochdruck die Krankheit zusätzlich verschlimmert.
  • Thrombose-Vorbeugung (Antikoagulation, Blutverdünnung)

Behandlung bei totalem Nierenfunktionsverlust

  • Blutwäsche, Dialyse*
  • Nierentransplantation

*Dialyse ist eine künstliche Blutwäsche. Damit werden die Aufgaben der Nieren, schädliche Stoffe aus dem Körper zu filtern und mit dem Urin auszuscheiden, künstlich übernommen.

Die Prognose hängt davon ab, ob nur die Nieren oder auch andere Organe von der Ursache für die Nierenentzündung betroffen sind. Dabei gibt es aggressivere und weniger aggressive Formen der Glomerulonephritis, was sich im rasch oder langsam fortschreitenden Verlust der Nierenfunktion äussert.

Auch bei transplantierten Nieren kann die Krankheit nach vielen Jahren wieder auftreten und - in seltenen Fällen - die neue Niere auch wieder zerstören.