Gicht: Zuviel Harnsäure im Blut und Ablagerungen in Gelenken
Gicht: Zuviel Harnsäure im Blut und Ablagerungen in Gelenken
Gicht ist ein Sammelbegriff für eine Purinstoffwechselstörung sowie deren Folgekrankheiten. Purine entstehen vor allem dann, wenn Kern-haltige Zellen absterben. Die Purine werden dann als Harnsäure mit dem Urin ausgeschieden. Wenn zu viel Harnsäure im Körper vorliegt, oder diese nicht mehr ausgeschieden werden kann, tritt eine Gicht auf. Die Krankheit oder die Veranlagung dazu ist meistens vererbt. Männer sind in den Industriestaaten häufiger davon betroffen als Frauen.

Wird ungenügend Harnsäure ausgeschieden, konzentriert sie sich im Blut. Übersteigt die Harnsäurekonzentration im Blut eine gewisse Grenze, kristallisiert sie aus und lagert sich unter anderem in Gelenken, der Haut oder in den Nieren ab.

In der Medizin wird zwischen der primären und der sekundären Gichtform unterschieden, wobei die primäre Form häufiger vorkommt als die sekundäre.

Ursachen der primären Form

  • Meist eine Ausscheidungsstörung der Nieren
  • Erhöhte Produktion von Harnsäure (selten)

Ursachen der sekundären Form

Verschiedene Erkrankungen, die zu einer Erhöhung der Harnsäure im Blut führen, wie zum Beispiel Tumorerkrankungen.

Risikofaktoren

Ausgelöst wird ein Gichtanfall häufig durch Alkoholexzesse, üppige Mahlzeiten oder je nach dem auch einmal durch Medikamente, welche die Harnsäureausscheidung hemmen.

Gicht: Häufiger Befall des Grosszehengrundgelenkes
Gicht: Häufiger Befall des Grosszehengrundgelenkes

Die leichte Gichtform kann unter Umständen jahrelang ohne Beschwerden verlaufen.

Erste Zeichen eines akuten Gichtanfalls:

  • Heftige Schmerzen, Rötung (Überwärmung), Schwellung meistens primär des Grosszehengrundgelenkes, selten des Knie- oder Sprunggelenkes
  • Evtl. Fieber
  • Spätfolgen: Gichttophi, Gelenkzerstörung (Gichtarthritis), Gichtniere

Ist die Harnsäure im Blut über eine längere Zeit erhöht, entsteht eine chronische Gicht mit Zerstörung der Gelenke, Bildung von Nierensteinen und Nierenfunktionsverlust.

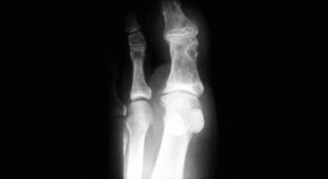
Gicht: Sichtbare Langzeitschäden in den Gelenken
Gicht: Sichtbare Langzeitschäden in den Gelenken

Zur Diagnose der Gicht  werden verschiedene Untersuchungen und Abklärungen durchgeführt. Dazu gehören unter anderem:

  • Krankengeschichte unter Einbezug der Beschwerden
  • Blutuntersuchung (Messung des Harnsäurespiegels); Beim akuten Gichtanfall müssen die Harnsäurewerte jedoch nicht unbedingt erhöht sein
  • Röntgenuntersuchung: Betroffene Gelenke weisen Langzeitschäden auf
  • Untersuchung von Nierensteinen auf ihre Zusammensetzung
Gicht: Medikamente gegen Erhöhte Harnsäurewerte und Diät
Gicht: Medikamente gegen Erhöhte Harnsäurewerte und Diät

Akuter Gichtanfall

  • Lokal kühlende Umschläge, Ruhigstellung
  • Entzündungshemmende Schmerzmittel, evtl. Kortison

Chronischer Verlauf

Das langfristige Ziel der Behandlung ist die Normalisierung des Harnsäurespiegels mit einem Medikament (Allopurinol als Wirkstoff), welches den Abbau der Purine zur Harnsäure hemmt. Zusätzlich können Medikamente eingenommen werden, welche die Ausscheidung von Harnsäure antreiben.

Allgemeine Massnahmen

  • Änderungen des Essverhaltens: Einschränkung der Purinzufuhr. Purine sind vor allem enthalten in Fleisch, Poulethaut, Innereien, Fischhaut, Sardinen, Thon, Meeresfrüchten (Krevetten, Muscheln etc).
  • Gewichtsreduktion
  • Achtung: Fasten fördert Gichtanfälle genauso wie Schlemmerorgien
  • Alkoholverzicht, dafür 2-3 Liter Flüssigkeit in Form von ungezuckerten Getränken
  • 5-6 kleine Mahlzeiten anstelle von 3 grossen

Unbehandelt können im Laufe der Jahre Ablagerungen von Harnsäurekristallen in verschiedenen Geweben (z.B. Ohrmuschel, Haut) und Organen (z.B. Nieren) vorkommen. Spezifische Komplikationen sind:

Gicht: Mit gesunder Ernährung die Harnsäurewerte ausgleichen
Gicht: Mit gesunder Ernährung die Harnsäurewerte ausgleichen

Die angeborene Neigung zu einem erhöhten Harnsäurespiegel kann nicht ursächlich behandelt werden.

Folgende Massnahmen reduzieren die Gefahr eines Gichtanfalls:

  • Einhalten der Diätvorschriften
  • Genügend Flüssigkeit
  • Regelmässige Medikamenteneinnahme
  • Gewichtsreduktion
  • Alkoholreduktion oder -abstinenz