Darmverschluss: Gefährliche Darmerkrankung
Darmverschluss: Gefährliche Darmerkrankung

Der Darmverschluss gehört zu den gefährlichsten Erkrankungen im Bauchraum. Dabei ist entweder der Dünndarm oder der Dickdarm betroffen. Bei einer Darmverengung (Stenose, Obstruktion) handelt es sich um einen unvollständigen, beim Ileus um einen vollständigen Darmverschluss. Dabei ist die Passage des Darminhaltes nicht mehr möglich oder es kann zum totalen Erliegen der Darmbewegungen kommen.

Keime oder sogar Darminhalt können die Darmwand durchwandern und in der Bauchhöhle (Peritoneum) oder sogar im ganzen Körper zu einer schweren Infektion führen (Blutvergiftung, Sepsis).

Je nach Ursache unterscheidet man zwischen zwei Formen des Darmverschlusses: mechanischer und lähmender (paralytischer) Darmverschluss. Die sogenannte Invagination ist die häufigste Ursache für einen Darmverschluss beim Kleinkind (bis zu 2jährig). Später kommt diese Form selten vor.

Ein Darmverschluss ist eine lebensgefährliche Situation, die ein sofortiges ärztliches Eingreifen erfordert. Der Darmverschluss muss in den meisten Fällen so rasch wie möglich operativ behandelt werden, da die Krankheit sonst zum Tod führen kann.

Darmverschluss: Verschiedene Ursachen kommen in Frage
Darmverschluss: Verschiedene Ursachen kommen in Frage

Mechanischer Darmverschluss

Verdaute Nahrungsmittel werden normalerweise mehr oder minder schnell durch wellenförmige Bewegungen Richtung Enddarm befördert. Diese notwendigen Darmbewegungen (Peristaltik) sind beim mechanischen Ileus durch Hindernisse gestört, was zu heftigen Ober- und Unterbauchbeschwerden führt.

Formen und Ursachen des mechanischen Darmverschlusses

  • Obturation: Die innere Darmgrösse wird durch Hindernisse bis zum totalen Verschluss verkleinert. Ursachen: Würmer, Fremdkörper, grosse Gallensteine, Mekonium (Neugeborenenstuhl)
  • Obstruktion: Hier wird der Druchmesser des Darminnenraumes durch Zusammendrücken von aussen oder durch krankhaftes Wachstum der Schleimhaut stark verkleinert. Ursachen: Tumore, extreme Schwellung der Schleimhaut bei entzündlichen Darmerkrankungen (Morbus Crohn, Colitis ulcerosa)
  • Strangulation: durch Abschnürung von Gefässen des Mesenteriums* kommt es zu einer Unterbrechung der Blutab- und zufuhr. Das ist ein absoluter Notfall, da durch die entstehende Mangeldurchblutung innerhalb weniger Stunden der betroffene Darmteil abstirbt. Ursachen: meistens durch Verwachsungen z.B. nach Operationen; auch durch Krankheiten wie Morbus Crohn, Hernien (Bauchwandbrüche z.B. Leistenbruch), Invagination beim Kleinkind, Verdrehung des Darmes (Volvolus), Gallensteine, durch Stuhl oder Entzündungen.
    *Mesenterium: Dünndarmgekröse, das Lymphe, Blutgefässe und Nerven enthält.

Funktioneller (lähmender, paralytischer) Darmverschluss

Hier kommt es zu einer Unterbrechung der Darmbewegungen. Der Darm ist zwar noch durchgängig, die Passage ist aber - da keine Darmbewegungen mehr stattfinden - unterbrochen. Dabei kann es zu Verkrampfungen (Spasmen) der Darmmuskulatur kommen.

Wie beim mechanischen Darmverschluss wird der Darminhalt nicht bis zum Enddarm befördert. Keime und Darminhalt gelangen durch die Darmwand in die Bauchhöhle, es kommt zu einem sogenannten akuten Abdomen und später zu einer Bauchhöhlenentzündung oder zu einer Bauchfellentzündung (Peritonitis).

Ursachen eines funktionellen Darmverschlusses können sein:

  • Vorausgegangene Bauchfellentzündung, Lungenentzündung, Bauchspeicheldrüsenentzündung, Herzinfarkt
  • Stoffwechselstörungen, Störungen des Elektrolythaushaltes (z.B. nach anhaltenden starken Durchfällen), Nierenversagen.
  • Nach Operationen, bei Koliken, nach stumpfer Bauchverletzung (z.B. Box- oder Fusstritt)
  • Darmdurchbruch (Perforation)
  • Nach Verschluss der blutzuführenden Darmarterien (Mesenterialinfarkt)
  • Nach einer Bleivergiftung oder bei Vergiftungen durch Opiate
  • Bei Bluterkrankung (z.B. Porphyrie)
  • Wurmbefall 

Gemischter Ileus

Jeder mechanische Ileus wird mit zunehmender Dauer schliesslich auch zum paralytischen Ileus, da die Darmbewegungen nach anfänglicher Zunahme - wieder abnehmen und schliesslich ganz ausbleiben. Es finden sich Beschwerden sowohl vom mechanischen wie auch vom lähmenden Darmverschluss. Dabei sind die Symptome sehr unterschiedlich ausgeprägt.

Darmverschluss: Heftige, plötzliche, kolikartige Bauchschmerzen
Darmverschluss: Heftige, plötzliche, kolikartige Bauchschmerzen

Oft sind die Beschwerden nicht eindeutig zuzuordnen. Deshalb ist eine gründliche Befragung und Untersuchung des Betroffenen notwendig. Unklare Bauchbeschwerden müssen - besonders bei Kindern und älteren Menschen - möglichst rasch abgeklärt werden.

Bei akuten, heftigen, kolikartigen Bauchschmerzen ohne ersichtliche Ursache sowie bei Erbrechen und Gasansammlungen im Bauch muss mit einem Darmverschluss gerechnet werden = Notfall.

Beschwerden beim mechanischen Ileus

Folgende Beschwerden können je nach Stelle des Darmverschlusses - einzeln oder miteinander auftreten.

  • Starke, kolikartige Schmerzen
  • Erbrechen, ev. Stuhlerbrechen
  • Aufgetriebene, gespannte Bauchdecke durch Gasansammlung (Meteorismus)
  • Kein Stuhl- und kein Windabgang
  • Überaktivität der Darmbewegungen, hörbar, ev. sichtbar

Beschwerden beim funktionellen Ileus

  • Auftretende Bauchschmerzen v.a. nach dem Essen
  • Übelkeit und Erbrechen
  • Verschlechterung des Allgemeinzustandes
  • Weicher Bauch, stark gasgefüllt; bei Entzündung wird der Bauch hart und gespannt.
  • Fehlende Darmgeräusche

Beim gemischten Ileus sind die Beschwerden gemischt und unterschiedlich stark ausgeprägt.

Beschwerden bei Darmverschluss durch Einstülpung des Darmes (Invagination beim Kleinkind)

  • Plötzlich auftretende, kolikartige, wellenförmige, starke Bauchschmerzen
  • Erbrechen
  • Blasse Haut, kalter Schweiss
  • Kind ist sehr unruhig und ängstlich
  • Dazwischen Beruhigung der Beschwerden und erneutes Auftreten
  • Kein Stuhlabgang, ev. Abgang von blutigem Schleim
  • Aufgetriebener Bauch
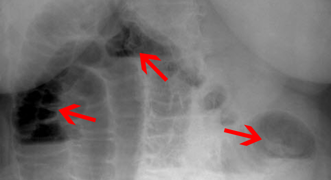
Darmverschluss: Abhören, Abtasten, Röntgenaufnahmen
Darmverschluss: Abhören, Abtasten, Röntgenaufnahmen

Zur Diagnose eines Darmverschlusses werden verschiedene Untersuchungen und Abklärungen durchgeführt. Dazu gehören unter anderem:

  • Krankengeschichte unter Einbezug der Beschwerden. Nachfragen nach vorausgegangenen Krankheiten (z.B. Magengeschwüre, Darmentzündungen); Angaben nach Art der Schmerzen können dem Arzt weiterhelfen z.B. sind die Schmerzen stechend, plötzlich auftretend, mehr im Unter- oder Oberbauch, ausstrahlend in den Rücken etc. Ebenso wichtig für den Arzt sind Angaben zum Stuhlverhalten, zu Konsistenz und Farbe des Stuhls, ebenso zu Erbrochenem.
  • Abtasten: Abwehrspannung am Bauch, Druckschmerzen
  • Abhören: metallisch klingende oder fehlende Darmgeräusche
  • Rektale Untersuchung: Abtastung des Enddarmes mittels Finger
  • Röntgenaufnahmen des Bauchraums (Abdomens), evtl. mit Kontrastmittel
  • Ultraschall
  • Computertomographie
  • Blutuntersuchungen (weisse und rote Blutkörperchen, Blutfarbstoff, Blutplättchen, Entzündungsparameter
Darmverschluss: Operationsart richtet sich nach den Ursachen
Darmverschluss: Operationsart richtet sich nach den Ursachen

Bei Verdacht auf einen Darmverschluss muss sofort gehandelt werden. Die Behandlung richtet sich nach Art und Lokalisation des Darmverschlusses.

Ab und zu kann konservativ (ohne Operation) behandelt werden, meistens ist aber eine Operation notwendig.

Liegt eine Grunderkrankung vor (z.B. Bauchfellentzündung, durchgebrochene Magen- oder Dünndarmgeschwüre, Gewebsbrüche etc), muss diese entsprechend behandelt werden.

Notfallmassnahme Konservative Behandlung

  • Legen einer Magensonde und Abziehen von gestautem Sekret.
  • Infusion: Zugabe von Flüssigkeit und Elektrolyten

Medikamentös

  • Antibiotika: dadurch soll die Ausbreitung der Erreger verhindert werden.
  • Medikamente oder Einläufe zur Förderung der Darmbewegungen (nur beim lähmenden Darmverschluss.

Operation

Die Art der Operation richtet sich nach der Ursache des Darmverschlusses:

  • Lösen von Verwachsungen
  • Entfernung des Hindernisses (z.B. Tumor) oder der Einengung
  • Evtl. Entfernung des betroffenen Darmteils
  • Evtl. Einsetzten eines Überbrückungsteils (Bypass), ev. einen künstlichen Darmausgang (Stoma)
  • Erhaltung oder Wiederherstellung der Durchblutung sämtlicher Darmabschnitte

Massnahmen beim Kleinkind

Zu Beginn helfen Massage, Einläufe mit Kontrastmittel; damit soll der eingestülpte Darm zurückgeschoben werden. Gelingt dies nicht, muss möglichst rasch operiert werden.

Mit jeder Stunde ohne therapeutische Massnahmen steigt das Sterberisiko.

Wenn die Ursache des mechanischen Darmverschlusses geklärt und das Hindernis entfernt werden konnte, sind die Heilungschancen gut. Auch die Prognose der Invagination ist bei rascher Behandlung gut.

Schwere Komplikationen sind:

  • Fehlende- oder Minderdurchblutung, Zellschädigungen und dadurch Schädigung der Darmwand, Funktionseinschränkungen des Darmes oder - im schlimmsten Fall platzt der Darm (Perforation).
  • Lokale oder Ganzkörperinfektion (Sepsis): Durch Ausbreitung von Keimen in die Bauchhöhle. Die Sepsis ist ein lebensbedrohlicher Zustand..
  • Schockzustand durch mangelnde Flüssigkeits- und Elektrolyt-Aufnahme durch den Darm. Führt unbehandelt zum Tod.