Down-Syndrom: Chromosomendefekt
Down-Syndrom: Chromosomendefekt

Der normale Mensch verfügt über 46 Chromosomen, die aus 23 Chromosomenpaaren bestehen. Darin ist die gesamte Erbanlage gespeichert. Zwei Chromosomen, bei Mädchen XX und bei Jungs XY, sind die Geschlechtschromosomen. Die geschlechtliche Erbanlage bei Mädchen wird demnach bezeichnet mit 46XX, bei Knaben mit 46XY.

Durch die Befruchtung der Eizelle der Mutter (23X) mit der Samenzelle des Mannes (23X oder 23Y) verschmelzen die Chromosomen und es entsteht ein 46XY (Knabe) oder ein 46XX (Mädchen). Für ein gesundes Kind dürfen keine Abweichungen in der Chromosomenzahl vorhanden sein.

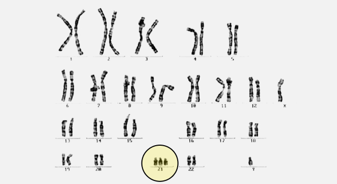
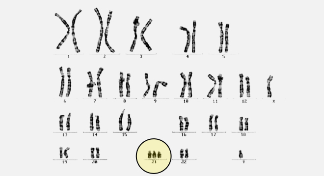
Down-Syndrom: Trisomie 21, zahlenmässige Chormosomenanomalie
Down-Syndrom: Trisomie 21, zahlenmässige Chormosomenanomalie

Bei der Verschmelzung der Eizelle und des Samens wird je die Hälfte des Erbgutes der Mutter und des Vaters ans Kind weitergegeben: Wenn eine dieser Hälften nicht vollständig ist oder ein Chromosom zu viel enthält, entstehen zahlenmässige Chromosomanomalien.

Down-Syndrom: Körperliche- und Entwicklungsdefizite
Down-Syndrom: Körperliche- und Entwicklungsdefizite

Downsyndrom

Das Chromosom 21 ist dreimal statt zweimal vorhanden (Trisomie 21). Die Kinder sind in der Entwicklung gehemmt und weisen häufig Fehlbildungen auf (z.B. Herzfehler).

Typische körperliche Merkmale beim Down-Syndrom:
  • Flaches Gesicht
  • Schräge Liedachsen
  • Hautfalte am inneren Augenwinkel
  • Tiefsitzende Ohren
  • Vergrösserte gefurchte Zunge
  • Durchgehende Handfurche
  • Wachstumsstörung (Kleinwuchs)
Weitere Symptome:
  • Geistige Minderbegabung, die aber entwickelt und gefördert werden kann
  • Muskelhypotonie (schlaffe Muskulatur)
  • Über 40% der Geborenen haben einen Herzfehler
  • Mann: Unterentwickelte Genitalien, Sterilität.
  • Frauen können zum Teil Kinder bekommen
  • Hohe Infektionsanfälligkeit (z.B. Atemwegs-, Ohrenerkrankungen)
  • Hörstörungen
  • Störungen im Verdauungstrakt
  • Augenerkrankungen (grauer Star)

Bei  Trisomien anderer Chromosomen sind die Kinder oft schwerst krank, zum Teil nicht lebensfähig und haben dadurch eine sehr geringe Lebenserwartung.

Turner-Syndrom

Bei einfach fehlendem Geschlechtschromosom (45X0) ist die Folge bei Mädchen Kleinwuchs mit breitem Halsansatz. Die Mädchen entwickeln sich soweit normal, bleiben aber unfruchtbar.

Klinefelter-Syndrom

Jungen und Männer mit einem Klinefelter-Syndrom (47XXY) haben neben dem Y-Chromosom zwei X-Chromosomen in jedem Zellkern. Die körperliche und geistige Entwicklung von Jungen mit Klinefelter-Syndrom muss keine Besonderheiten aufweisen. Das einzige Merkmal dieses Syndroms ist die Zeugungsunfähigkeit. Andere Besonderheiten können eine verzögerte Pubertätsentwicklung und eine überdurchschnittliche Körpergrösse sein.

Down-Syndrom: Fruchtwasseruntersuchung
Down-Syndrom: Fruchtwasseruntersuchung

Bereits im Mutterleib ist es möglich, mit verschiedenen Techniken Erbanlagen beim Ungeborenen zu bestimmen:

  • Fruchtwasseruntersuchung
  • Plazenta-Untersuchung, wobei eine Gewebeprobe des Mutterkuchens entnommen wird
  • Blutentnahme aus der Nabelschnur (mit Ultraschall-Kontrolle) und Bestimmung des Chromosomensatzes
  • Entnahme von Körperzellen direkt vom Fötus oder eine Punktion der Harnblase

Beim Säugling:

  • Nachweis der Chromosomenanomalie 
  • Ultraschalluntersuchung der Organe, bei Down-Syndrom speziell des Herzens
  • Blutuntersuchungen
  • Sehtests, Hörtests, neurologische Untersuchungen
  • Laufende Ermittlung der körperlichen und geistigen Entwicklung
Down-Syndrom: Miteinander Leben
Down-Syndrom: Miteinander Leben

Die Ursache des Down Syndrom kann nicht behandelt werden. Bei frühzeitigen Therapiemassnahmen sind Menschen mit einem Down Syndrom allerdings sehr entwicklungsfähig, sowohl auf körperlicher wie auch auf geistiger Ebene. Dies sollte professionell angegangen werden. Oft zeigen sie eine überaus grosse soziale Kompetenz und Sensibilität, brauchen aber dafür im Gegenzug viel menschliche Zuwendung.

Heute können Menschen mit einem Down Syndrom sogar ein Alter von 50 und mehr erreichen.

Angeborene Herzfehler können heute gut operiert werden.

Regelmässige Bewegungs- und Sporttherapien helfen, die Muskeln zu stärken. Aber auch hier gilt: fordern, aber nicht überfordern.

Menschen mit Down Syndrom sind anfällig für Infektionen (Störung der Abwehr), die bei bakterieller Ursache mit Anitbiotika behandelt werden.

Bei sicherem Nachweis einer Chromosomen- Anomalie, die zu einer schweren kindlichen Behinderung führt oder gar nicht mit dem Leben vereinbar ist, kann die Schwangerschaft abgebrochen werden. Ein Schwangerschaftsabbruch sollte gegebenenfalls zum frühst möglichen Zeitpunkt nach ausführlicher Beratung durchgeführt werden.