Brustzysten: Gutartige Geschwulst in der weiblichen Brust
Brustzysten: Gutartige Geschwulst in der weiblichen Brust

Eine Zyste ist eine von einer Kapsel umgebene, sackartige Geschwulst mit einem dünn- oder dickflüssigen Inhalt. Bei den Brustzysten handelt es sich um gutartige Gewebeveränderungen.

Zysten in andern Organen (z.B. Eierstock, Schilddrüse) haben nichts mit Brustzysten gemeinsam, etwa im Sinne einer generellen Zystenveranlagung.

Brustzysten können gut behandelt werden. Ob es sich um eine Zyste oder um einen Tumor handelt, kann nur der Arzt mit Hilfe spezieller Untersuchungen beurteilen.

Auch ausserhalb der Schwangerschaft wird stetig ein wenig Flüssigkeit in den Drüsen gebildet. Wenn die Ausführgänge verstopft sind und die Flüssigkeit nicht abfliessen kann, sammelt sie sich in den sogenannten Drüsenläppchen an. Langsam wächst dann die Zyste und wird grösser.

Einzelne (solitäre) Zysten können angeboren sein.

Brustzysten: Tastbarer prallgefüllter gutartiger Knoten
Brustzysten: Tastbarer prallgefüllter gutartiger Knoten

Häufig machen Zysten keine Beschwerden. Ab einer bestimmten Grösse wenn sie prall gefüllt sind kann sich eine Schwellung bemerkbar machen. Sie ist je nach Grösse der Brust tastbar. Frauen können durch Tasten allein nicht zwischen einer Zyste, einem gutartigen oder einem bösartigen Tumor (Krebsknoten) unterscheiden. Sie sollten deshalb die Entdeckung so schnell wie möglich einem Arzt zeigen.

Schmerzen können bei prallgefüllten Zysten auftreten und je nach Zyklusstand mehr oder weniger stark sein.

Mitunter kommt es zu Sekretabsonderungen aus der Brustwarze; das kann auf eine Zyste hindeuten.

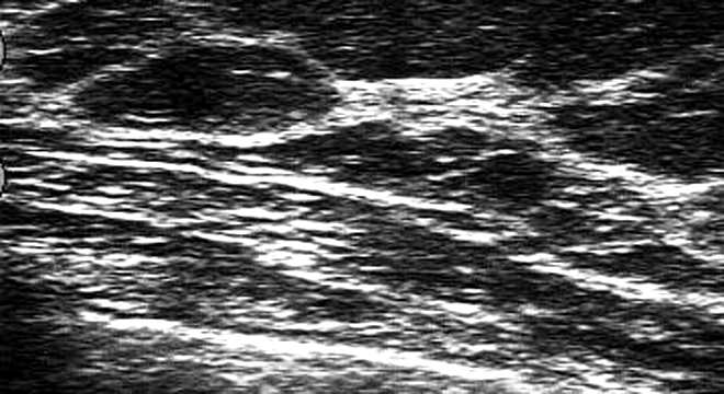
Brustzysten: Abstasten und Ultraschall der weiblichen Brust
Brustzysten: Abstasten und Ultraschall der weiblichen Brust

Zur Diagnose von Brustzysten werden verschiedene Untersuchungen und Abklärungen durchgeführt. Dazu gehören unter anderem:

  • Krankengeschichte unter Einbezug der Symptome
  • Abtasten der Brüste
  • Ultraschall
  • Mammographie, zum Ausschluss anderer Erkrankungen, insbesondere andere gutartige Veränderungen oder bösartige Tumore
  • Punktion der Brustzyste und mikroskopische Untersuchung der Flüssigkeit
  • Pneumozystographie: Injektion von Kontrastmittel sowie Luft (deshalb pneumo) in die Zyste; danach Röntgenbild zur Begutachtung der Zystenwand. An der Zystenwand können sich sogenannte Papillome bilden; das sind gutartige Gewächse.
Brustzysten: Punktion, eventuell chirurgische Entfernung der Zyste
Brustzysten: Punktion, eventuell chirurgische Entfernung der Zyste

Unauffällige, nicht schmerzende Brustzysten werden belassen. Bei grösseren, schmerzhaften Brustzysten gibt es folgende Behandlungsmöglichkeiten:

  • Punktion: Entleerung durch einen Einstich mit einer Hohlnadel oder mit einem kleinen Schnitt; danach kann mit einer Nadel Luft eingefüllt werden. Damit verkleben die Wände der Zyste und sie kann sich nicht mehr füllen.
  • Operative Entfernung und gewebliche (histologische) Untersuchung. Wenn bei einer Punktion auffällige Zellen nachgewiesen werden, muss die Zyste mit der Wand entfernt werden.
  • Medikamente: Diese kommen manchmal bei immer wiederkehrenden Zysten zur Anwendung

Papillome können in ca. 10-15% der Fälle entarten (bösartig werden). Noch seltener sind Krebstumore, die sich in Zystenwänden entwickeln.

Brustzysten kann man nicht vorbeugen. Wichtig ist, dass alle Veränderungen der Brust von einem Arzt regelmässig kontrolliert werden.