Brustfellentzündung: meist die schmerzhafte Folge einer Atemwegserkrankung
Brustfellentzündung: meist die schmerzhafte Folge einer Atemwegserkrankung
Bei der Brustfell/Rippenfellentzündung besteht eine Entzündung des Brust/Rippenfells (Pleuritis), jener dünnen Gewebeschicht (Pleura), die die Lungen bedeckt und den Brustkorb innen auskleidet. Fast nie ist die Pleuritis ein eigenständiges Krankheitsbild. Meistens ist sie die Folge einer andern Erkrankung. Meistens handelt es sich dabei um eine Erkrankung der Atemwege.

Das Rippenfell (Pleura pulmonalis) bewirkt, dass die Lungenflügel eng am Brustkorb anliegen. Die Lunge kann sich aber bei den Atembewegungen trotzdem leicht verschieben. Das Brustfell  (Pleura parietalis) bedeckt die Innenwände des Brustkorbs, die Oberseite des Zwerchfells und den Herzbeutel. Bei der normalen Atmung liegen beide Schichten (das Rippen- und das Brustfell) aufeinander; dazwischen befindet sich ein feiner Flüssigkeitsfilm.

Man unterscheidet zwischen der trockenen (Pleuritis sicca) und der feuchten (Pleuritis exsudativa) Form. Letztere geht mit einem Erguss (Pleuraerguss) einher. Die trockene Pleuritis ist meist der Vorläufer der feuchten Form.

Krankheiten, die eine Pleuritis auslösen können:

Brustfellentzündung: Schmerzen, Reizhusten, flache Atmung
Brustfellentzündung: Schmerzen, Reizhusten, flache Atmung

Trockene Pleuritis (Pleuritis sicca) Oft Vorläufer der feuchten Pleuritis

  • Schneidende Schmerzen in der Brust, beim Einatmen und Husten verstärkt
  • Flache Atmung
  • Reizhusten (kein Auswurf)
  • Kein Fieber

Feuchte Pleuritis (Pleuritis exsudativa)

  • Die Schmerzen verschwinden, es bildet sich ein Pleuraerguss; dadurch kommt es zu:
  • Druckgefühl in der Brust
  • Atemnot
  • Manchmal Schmerzen in der Schulter durch Zwerchfellnerv-Reizung
  • Ein grosser Erguss bewirkt eine Gewichtszunahme
  • Leicht oder deutlich erhöhte Temperatur (Fieber)
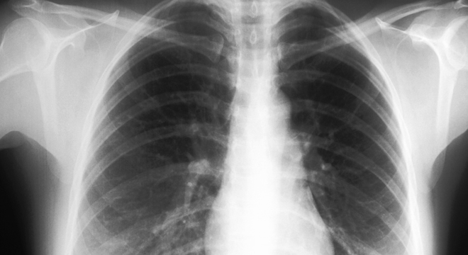
Brustfellentzündung: Röntgenbild der Lunge
Brustfellentzündung: Röntgenbild der Lunge

Zur Diagnose einer Brustfellentzündung werden verschiedene Untersuchungen und Abklärungen durchgeführt. Dazu gehören unter anderem:

  • Krankengeschichte unter Einbezug der Beschwerden
  • Abhören und Abklopfen der Lunge: bei der trockenen Form kann der Arzt das typische Pleurareiben hören
  • Röntgenaufnahme des Brustkorbes (Thorax): Pleuraerguss wird sichtbar
  • Laboruntersuchungen: Entzündungsparameter (weisse Blutkörperchen, Blutsenkungsgeschwindigkeit, C-reaktives Protein (CRP): alle diese Werte sind in der Regel bei einer Entzündung erhöht.
  • Bestimmung des Erregers
  • Bei Vorliegen einer Autoimmunerkrankung können Antikörper gemessen werden
  • Punktion des Pleuraergusses und mikroskopische, sowie laborchemische Untersuchung der Flüssigkeit
Brustfellentzündung: Atemgymnastik hilft beim Atmen
Brustfellentzündung: Atemgymnastik hilft beim Atmen

Zuerst muss die Grunderkrankung behandelt werden. Bei einer Lungenentzündung z.B. wird mit Antibiotika behandelt.

Wichtig

Um Pleuraverwachsungen zu vermieden muss so gut wie möglich tief ein- und ausgeatmet werden.

Da die Schmerzen sowie die Bettruhe eine tiefe Atmung einschränken; wird bei einer Pleuritis nebst der Gabe von Schmerzmitteln auch eine Atemgymnastik verordnet.

Wird die Grunderkrankung erkannt und behandelt, verläuft eine Pleuritis meistens komplikationslos.

Durch unzureichend tiefe Atmung kann eine sogenannte Pleuraschwarte oder Pleuraschwiele (Pleuraverwachsungen) entstehen. Dadurch wird die Lunge an den Brustkorb gebunden und sie kann sich nicht mehr richtig entfalten. Folge: Der Betroffene bekommt zu wenig Sauerstoff. Ist die Lungenfunktion stark eingeschränkt, müssen solche Verwachsungen meist operativ gelöst werden.

Ist die Ursache der Pleuritis eine Virusinfektion, dann ist der Verlauf meistens weniger ausgeprägt und relativ unkompliziert.

Infektionen der Atemwege sollten entweder vermieden oder rasch behandelt werden. So kann einer Brust/Rippenfellentzündung (Pleuritis) vorgebeugt werden.