Bauchspeicheldrüsenkrebs: Bösartige Veränderung von Zellen
Bauchspeicheldrüsenkrebs: Bösartige Veränderung von Zellen

Der Bauchspeicheldrüsenkrebs entsteht durch krankhafte (bösartige) Veränderungen der Zellen in der Bauchspeicheldrüse. Betroffen von der Erkrankung sind vorwiegend Menschen zwischen dem 60. bis 80. Lebensjahr, Männer häufiger als Frauen. In letzter Zeit finden sich allerdings gehäuft jüngere Patienten mit Bauchspeicheldrüsenkrebs. Lediglich bei ca. 20% aller Patienten mit einem Pankreaskrebs ist eine Heilung noch möglich, da ein solcher meist erst in weit fortgeschrittenem Stadium festgestellt wird. Demnach ist die Prognose Betroffener häufig sehr ernst.

Die Bauchspeicheldrüse (Pankreas) ist ein für die Verdauung wichtiges Organ. Sie liegt in der Mitte des oberen Bauchraumes etwa auf Höhe der Nieren und ist im Bogen des Zwölffingerdarms, hinter dem Magen eingebettet. Das Pankreas besteht aus einem endokrinen Anteil, der Hormone freisetzt (Insulin, Glukagon) und einem exokrinen Anteil, der die Verdauungssäfte produziert.

Die Verdauungsenzyme (Eiweiss - und Fett-spaltende Eiweisse) sind Stoffe, die im Darm die aufgenommene Nahrung in kleinste Bestandteile spalten. Ist die Funktionstüchtigkeit der Bauchspeicheldrüse eingeschränkt, so werden die Verdauung und der Zuckerstoffwechsel erheblich beeinträchtigt.

Bauchspeicheldrüsenkrebs: Ungesunder Lebensstil und familiäre Belastung
Bauchspeicheldrüsenkrebs: Ungesunder Lebensstil und familiäre Belastung

Wie bei vielen Krebserkrankungen ist die Entstehungsursache des Pankreaskrebses noch unbekannt. Es besteht jedoch ein erhöhtes Risiko bei:

  • Starkem Zigarettenkonsum, Nikotinsucht
  • Chronischer Bauchspeicheldrüsenentzündung (chronische Pankreatitis)
  • Evtl. übermässiger Alkoholkonsum, Alkoholsucht
  • Familiärer Belastung
Bauchspeicheldrüsenkrebs: Häufig schmerzlose Gelbsucht und unspezifische Rückenschmerzen
Bauchspeicheldrüsenkrebs: Häufig schmerzlose Gelbsucht und unspezifische Rückenschmerzen

Der Bauchspeicheldrüsenkrebs verursacht meist erst in einem späteren Stadium Beschwerden. Je nach Lokalisation der Krebsbildung treten unterschiedliche Symptome auf.

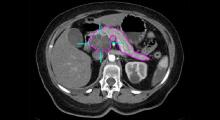
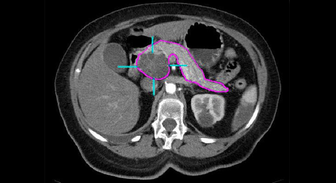
Bauchspeicheldrüsenkrebs: Computertomographie
Bauchspeicheldrüsenkrebs: Computertomographie

In einem Gespräch zwischen Arzt und Patient werden die verschiedenen Untersuchungsmöglichkeiten und weiteren Diagnosehilfsmittel besprochen.

  • Erhebung der Krankengeschichte (Anamnese)
  • Abtasten des Bauches (Palpation)
  • Ultraschall (Sonographie)
  • Computertomographie (CT)
  • Gallengang- und Bauchspeicheldrüsengangspiegelung (ERCP): Ist eine wichtige Untersuchung, mit der der Gallengang und der Pankreasgang dargestellt werden können. Dabei wird eine Spiegelung des Magens und des Dünndarms mit einem beweglichen Endoskop durchgeführt. Die gemeinsame Mündung von Gallengang und Pankreasgang (Papille) im Dünndarm wird durch eine Sonde mit Kontrastmittel gefüllt. In dieser Situation werden Röntgenaufnahmen durchgeführt, welche die Gänge, allfällige Gangunterbrechungen und Abflussbehinderungen darstellen.
  • Bauchspiegelung (Laparoskopie )
  • Bestimmung der Tumormarker im Blut (v.a. als Verlaufsparameter unter Therapie nützlich)
Bauchspeicheldrüsenkrebs: Chirurgische Behandlung ist unumgänglich
Bauchspeicheldrüsenkrebs: Chirurgische Behandlung ist unumgänglich

Ist der Krebs nur auf die Bauchspeicheldrüse beschränkt, kann dieser zusammen mit den umgebenden Lymphknoten in manchen Fällen vollständig durch eine Operation entfernt werden. Da es sich um einen sehr grossen chirurgischen Eingriff handelt, kann er nur in spezialisierten Krankenhäusern vorgenommen werden. Manchmal werden die Tumoren auch bereits vor der Operation mit Chemotherapie und Bestrahlung angegangen, mit dem Ziel, das Krebsvolumen so stark zu verringern, dass eine Operation mit dem Ziel der "Heilung" durchgeführt werden kann.

Über einen mittleren Bauchschnitt wird die Bauchspeicheldrüse teilweise oder ganz entfernt, ebenso werden Teile des Magens, des Dünndarms und des Gallensystems entfernt (Whipple'sche Operation). Nach solchen grossen Operationen ist immer ein Aufenthalt auf der Intensivstation erforderlich. Nach der Operation erfolgt eine postoperative Chemotherapie und meist zusätzlich eine Bestrahlung. Trotz dieser intensiven Therapie ist die Heilung in vielen Fällen nicht möglich.

Hat sich der Krebs bereits auf die Umgebung oder über den Blut- und Lymphweg auf entfernte Organe ausgebreitet (Metastasen), wird mit Bestrahlung und medikamentöser Behandlung (Chemotherapie) versucht, das Wachstum des Tumors zu bremsen und/oder die Schmerzen zu lindern. Eine Heilung kann in diesen Fällen bis heute kaum erreicht werden.

Bei der schweren Whipple-Operation besteht ein Sterberisiko von ca 3% und eine erhöhte Morbidität (Komplikationen) von ca 30-50%, neben den üblichen kurzfristigen Risiken wie Wundheilungsstörung, Blutungen, Thrombosen, Wundinfektionen, Fieber und Überreaktionen auf Medikamente oder Verbandmaterial.

Ebenso können Probleme bei der Heilung der vielen Nahtstellen im Bauchraum vorkommen. Besonders gefährdet ist hier die Naht zwischen Bauchspeicheldrüse und Darm. Wurde die gesamte Bauchspeicheldrüse entfernt, kann der Patient danach keine Verdauungsenzyme und kein eigenes Insulin mehr produzieren.

Diese Verdauungsenzyme müssen daher zu jeder Mahlzeit eingenommen werden und der Blutzucker muss durch Spritzen von Insulin reguliert werden. Trotz dieser Therapie ist die Nahrungsaufnahme gestört und häufig leiden die Patienten unter Magenentleerungstörungen und Darmbeschwerden.

Die meisten Patienten sterben auch heute leider noch an ihrem Pankreaskrebs.