Chronische myeloische Leukämie (CML): Das Philadelphia-Chromosom

Chromosomen
Chromosomen

Unser Erbgut besteht im Normalfall aus 46 Chromosomen. Darauf sind alle Informationen für die Entwicklung und Steuerung unserer Organe gespeichert.

Einzelne Chromosomen-Abschnitte, die für die Bildung spezifischer Proteine (Eiweisse) verantwortlich sind, werden Gene genannt. Veränderungen in Genen können entsprechend die Produktion von veränderten Proteinen bewirken, was zu Erkrankungen wie einer CML führen kann.

Chromosomen
Chromosomen

 

Das Philadelphia-Chromosom

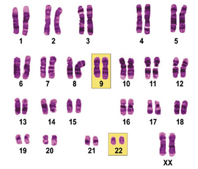
Bei der CML ist als Ursache der Krankheit in den meisten Fällen eine charakteristische Veränderung in zwei Chromosomen nachweisbar. Bei der Zellteilung lagert sich ein abgebrochenes Stück des Chromosoms Nummer 9 an das Chromosom 22 an und umgekehrt; es werden also genetische Abschnitte ausgetauscht, wodurch die Information für die Proteine an den Bruchstellen verändert wird (siehe Abbildung). Das neue Gen 22 kann in speziellen Tests nachgewiesen werden (siehe Diagnose) und trägt – nach dem Ort seiner Entdeckung - den Namen "Philadelphia-Chromosom". Der Austausch der Chromosomenteile wird Translokation genannt, man spricht bei der CML von der Translokation t (9;22).

Philadelphia Chromosom
Abb: Philadelphia-Chromosomen bei CML

Durch diese Translokation liegt das Gen mit der Abkürzung ABL von Chromosom 9 nun plötzlich neben dem Gen BCR auf dem Chromosom 22, wobei das neue Fusionsgen BCR-ABL entsteht. Dieses neu entstandene Gen produziert ein Protein mit einer dauerhaft aktivierten Tyrosinkinase. Diese ist verantwortlich für die ungehemmte Teilung der weissen Blutkörperchen. Nachdem nun vor Jahren das Philadelphia-Chromosom als Auslöser der CML identifiziert werden konnte, war der Grundstein für die Therapie gelegt und es wurde möglich, Medikamente gegen diese Tyrosikinase (BCR-ABL Kinase) zu entwickeln.

Das Philadelphia-Chromosom findet sich bei ungefähr 90% aller CML-Patienten. Einige wenige CML-Betroffene weisen andere Genveränderungen auf und bei einer kleinen Minderheit kann keine spezifische Veränderung nachgewiesen werden.

Auslöser für die Veränderung in den Genen können meistens nicht eruiert werden. Ionisierende (radioaktive) Strahlung oder allenfalls chronische Vergiftungen mit Benzol wurden als Risikofaktoren diskutiert. Obwohl der CML eine Veränderung in den Genen zugrunde liegt, ist es dennoch keine Erbkrankheit; Kinder von Eltern mit einer CML haben also kein nachweisbar erhöhtes CML-Risiko!